Introducción
La mediastinitis de origen infeccioso hoy día suele aparecer por una complicación de la esternotomía en cirugía cardiotorácica y, con menos frecuencia, por una infección bucofaríngea. La mediastinitis aguda que surge como complicación de una infección bucofaríngea fue denominada mediastinitis necrosante descendente (MND) por Estrera et al1 en 1983. Es una enfermedad muy poco frecuente pero importante por su elevada mortalidad, que oscila entre el 14 y el 50% según diversos autores2-4. La flora responsable suele ser mixta, con aerobios, anaerobios, grampositivos y gramnegativos que producen un efecto sinérgico1,5,6. El tratamiento quirúrgico es controvertido, desde la cirugía mediante cervicotomía y toracotomía defendida por algunos autores4,7-9 hasta un tratamiento más conservador con drenaje torácico transcervical10, como en el caso que presentamos.
Observación clínica
Varón de 29 años de edad, fumador de un paquete/día como antecedente más relevante. Presentó un dolor faríngeo que se diagnosticó de amigdalitis pultácea y se trató con amoxicilina e ibuprofeno. Al cabo de 9 días comenzó con odinofagia y agravamiento del dolor faríngeo, fiebre de 38,5 ºC, leucocitosis (20.000 cel/µl), neutrofilia (86%), deterioro del estado general, hipotensión y oliguria. Requirió ingreso en la unidad de cuidado intensivos por un shock séptico. En la fibrolaringoscopia la orofaringe era normal, sin asimetrías, la palpación cervical también era normal, y en la tomografía computarizada se observó una tumoración periamigdalar izquierda con burbujas de gas ectópico y extensión a la zona retrofaríngea, a la musculatura infrahioidea y al mediastino posterior periesofágico izquierdo, junto con un pequeño derrame pleural bilateral y zonas de consolidación alveolar en ambos lóbulos inferiores. Se le estabilizó mediante sueroterapia, cardiotónicos y antibióticos de amplio espectro (penicilina G, ciprofloxacino, clindamicina y piperacilina-tazobactam). En el hemocultivo se aislaron Escherichia coli, Acinetobacter baumanii, Enterococcus faecalis y Staphylococcus haemolyticus; en el cultivo del esputo, Serratia marcescens, y en el drenaje del absceso, E. coli. Tras 4 días de ingreso en la unidad de cuidados intensivos, y ante la evolución tórpida con tratamiento médico, se decidió la intervención quirúrgica. Se practicó una incisión laterocervical izquierda en Y, con extirpación de la fascitis de la musculatura prelaríngea izquierda. Se drenó abundante material purulento en la zona profunda de la musculatura prelaríngea y en el espacio retrofaríngeo, y se colocaron 2 drenajes de Penrose en dichas zonas y un drenaje torácico (sonda de Nelaton número 16) en el mediastino posterior mediante disección digital. El drenaje torácico se retiró de forma progresiva a los 15 días tras la cirugía. Durante la evolución fue preciso realizar una transfusión por hemorragia digestiva, que se trató con esclerosis endoscópica en la segunda porción duodenal. Se dio de alta al paciente a los 22 días.
Discusión
La MND es una entidad poco frecuente, con alrededor de una veintena de casos3,4 descritos en las principales series de la bibliografía. La formación de un absceso en la región bucofaríngea como consecuencia de una infección dental o amigdalar puede desembocar en la formación de una MND. Es un cuadro clínico grave, con una elevada mortalidad incluso actualmente a pesar de los antibióticos de amplio espectro y del desarrollo de la cirugía y de las unidades de cuidados intensivos2,3,6. Su sospecha es fundamental para un diagnóstico temprano, que suele realizarse básicamente mediante la tomografía computarizada8 donde se visualiza la colección líquida, a veces con aire ectópico indicativo de la flora bacteriana anaerobia (fig. 1). La extensión del absceso bucal o cervical hasta el mediastino se comprende puesto que existe una comunicación anatómica a través de los planos de las fascias de los músculos cervicales; además, el mediastino en su parte superior no posee ningún techo cerrado que lo mantenga aislado del cuello. A todo esto hay que añadir la presión intratorácica negativa que facilita, junto con la acción de la gravedad, el descenso de la infección hacia la región mediastínica2. Ante el diagnóstico de una MND hay que actuar inmediatamente con cobertura antibiótica de amplio espectro, ya que suele estar presente una flora mixta polimicrobiana6,11. Actualmente está en discusión el procedimiento quirúrgico en la MND. Algunos autores defienden el drenaje del absceso abordado mediante cervicotomía y toracotomía4,7-9 basándose en la elevada mortalidad de esta afección. Sin embargo, otros autores consideran que un abordaje torácico transcervical10 puede tener un buen resultado, como es el caso que describimos (fig. 2). El mediastino es un compartimiento cerrado, limitado por las pleuras, que lo separan de las cavidades pleurales, pero comunicado cranealmente con la región cervical. Así, el pus procedente del absceso orofaríngeo desciende por el mediastino labrando un camino y permaneciendo estanco siempre que las pleuras mediastínicas no se rompan. Puede haber un derrame pleural reactivo a la mediastinitis (estéril), como en nuestro caso. De este modo es posible el drenaje con facilidad del absceso de una MND mediante la vía transcervical. En el seguimiento hay que atender a la cantidad de líquido drenado y es útil la realización de una tomografía computarizada para una evaluación de control. Progresivamente el tubo torácico se va retirando a medida que cesa el drenaje. A veces conviene realizar lavados con suero fisiológico o con una solución de antiséptico diluido para evitar la obstrucción del tubo. Una vez que los cultivos del drenaje son negativos y que el débito del tubo es escaso, se procede a su retirada. Las radiografías simples de tórax diarias informan de si hay derrame pleural, qué cantidad, si aumenta y, junto con la analítica y la clínica, se podrán realizar otras opciones terapéuticas como la toracotomía con desbridamiento amplio en caso de ser necesario.
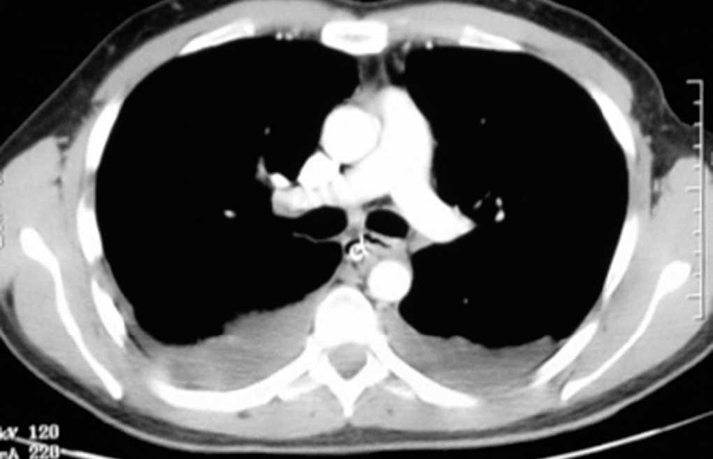
Fig. 1. Tomografía computarizada de tórax postoperatoria donde se visualiza el tubo de drenaje torácico colocado en el mediastino posterior vía transcervical.
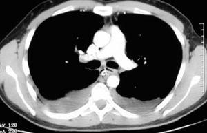
Fig. 2. Tomografía computarizada de tórax donde se observa la colección purulenta paraesofágica y subcarinal.
En conclusión, el tratamiento mediante un drenaje torácico vía transcervical en la MND secundaria a un absceso de la cavidad bucofaríngea que afecta al mediastino infracarinal puede ser eficaz. Ante una MND con extensión infracarinal sin compromiso de la cavidad pleural, una opción adecuada es el tratamiento inicial conservador mediante un drenaje transcervical.









