We report a case of coexisting pulmonary arteriovenous malformation (PAVM) and pulmonary arterial hypertension (PAH) in a patient with a rare GDF2 genetic variant.
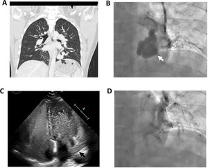
A 35-year-old male with a history of hypothyroidism presented with exertional dyspnea, but no hemoptysis or spontaneous epistaxis. His oxygen saturation was 95%. A thoracic CT revealed a PAVM in the left lung (Fig. 1A). Transthoracic echocardiography showed agitated saline bubbles draining into the left atrium via the pulmonary vein suggestive of significant right-to-left shut (Fig. 1C) and signs of pulmonary hypertension (PH). Right heart catheterization confirmed severe pre-capillary PH with a pulmonary arterial wedge pressure of 8mmHg, mean PA pressure (mPAP) of 63mmHg, pulmonary vascular resistance (PVR) of 14.9WU and cardiac output of 3.7L/min. Abdominal imaging showed normal liver vasculature. We cannot rule out hereditary hemorrhagic telangiectasia (HHT), though the patient only met one Curaςao criterion [1]. Genetic testing identified a heterozygous variant (ACMG class 3) in the growth differentiation factor 2 (GDF2) gene (c.958A>G(p.Ser320cys)). The patient was treated with tadalafil and ambrisentan. He exhibited marked symptomatic and hemodynamic improvement (mPAP:44mmHg, PVR: 4.5WU, cardiac output: 7.5L/min). He then successfully underwent endovascular plug closure of the PAVM.
Imaging of the pulmonary arteriovenous malformation. An initial thoracic CT revealed (A) dilated and tortuous pulmonary arteries and veins that joined together in a nodule of 32mm in the left lower lung lobe consistent with a pulmonary arteriovenous malformation (gray arrow); this was also confirmed during pulmonary angiography (white arrow, B). A transthoracic contrast echocardiography with agitated saline was performed. After ten cardiac cycles, countless saline bubbles were observed traveling through the left inferior pulmonary vein (black arrow) into the left atrium (C) without a Valsalva maneuver suggestive of significant right-to-left shunt. It also showed dilated right ventricle, systolic flattening of the interventricular septum and increased tricuspid regurgitation velocity. The pulmonary arteriovenous malformation was treated via vascular plug closure (D).
PAVMs are abnormal direct communications between pulmonary arteries and veins creating right-to-left shunts bypassing the pulmonary microvasculature. Complications include intrapulmonary hemorrhage, paradoxical embolisms and brain abscesses. Most PAVM patients have underlying HHT. PH in PAVM/HHT often results from high cardiac output due to liver vascular malformations and anemia. Rarely, patients with PAVMs have coexisting PAH [1] characterized by elevated PVR and progression to right heart failure if untreated.
Variants in the bone morphogenetic protein type 2 receptor (BMPR2) gene are the most common genetic causes of PAH [2]. In PAVM/HHT, variants in the genes encoding endoglin (ENG) and activin receptor-like kinase (ALK-1) predominate [3]. The GDF2 gene encodes the bone morphogenetic protein 9 (BMP9) – a cytokine of the TGF-β superfamily involved in pulmonary vascular regulation. GDF2 variants are rare in PAH and PAVM/HHT [2,3]. This specific variant has only been reported in one previous PAH case [2].
When PAVMs and PAH coexist, the hemodynamic interaction is complex and optimal treatment is not well-defined. PAVMs form a low-resistance conduit that reduces the right ventricular afterload. Embolization, the preferred treatment of PAVMs, is considered a relative contraindication in patients with severe PAH because of the risk of worsening PAH by abolishing the low resistance pathway [1]. However, severe PAH increases the risk of PAVM growth and rupture [4] and vasodilators used in the treatment of PAH may exacerbate hypoxemia by dilating PAVMs [5]. In patients without severe PH, Shovlin et al. [6] showed no consistent rise in PA pressures after PAVM closure. Cardiac output tends to decrease after embolization [7], potentially mitigating pressure increases. The current patient had responded well to PAH therapy and risk stratification placed him at low risk per 2022 ESC/ERS guidelines and REVEAL lite 2 score. Therefore, after careful consideration, we assessed that it was safest to perform PAVM closure to mitigate the lifelong risk of potentially fatal complications. Interestingly mPAP dropped by 16mmHg immediately following closure; unfortunately, cardiac output was not measured.
This is a rare case of coexisting PAVM and PAH associated with a GDF2 variant. While endovascular closure poses a risk of further increasing the PA pressure; it remains a viable option in patients that respond well to PAH-specific therapy.
Author contributionJS, MRS, LC and MKE collected the data for the paper. JS, MRS, LC, DM, DGK, RC, MKE all contributed to the analysis of the case and treatment of the patient. JS drafted the paper and all authors have reviewed and edited the paper and approved the final version.
Ethics statementWritten informed consent for publication was obtained from the patient.
Artificial intelligence involvementNo material in this manuscript has been produced with the help of any artificial intelligence software or tool.
FundingThis work did not receive any specific grant from funding agencies in the public, commercial, or not-for-profit sectors.
Conflict of interestThe authors state that they have no conflict of interests.








