El tratamiento habitual de los abscesos pulmonares es conservador. Sin embargo, las probabilidades de curación solo con tratamiento conservador son escasas cuando el diámetro del absceso es mayor de 6cm. En estos casos debe considerarse el tratamiento quirúrgico, ya sea con drenaje torácico o con resección quirúrgica1. El seudoaneurisma de la arteria pulmonar (PAP) es una complicación infrecuente y potencialmente mortal del absceso pulmonar2. Esta enfermedad se puede controlar bien mediante la embolización de la arteria pulmonar o la resección quirúrgica3. Asimismo se ha observado regresión espontánea4 y desaparición del PAP únicamente con tratamiento antibiótico5. No obstante, la tasa de mortalidad por rotura del PAP es superior al 50% en los pacientes que reciben tratamiento conservador6,7. Informamos del caso de un paciente que presentaba un absceso pulmonar de gran tamaño y un PAP que se resolvió de forma extraordinaria utilizando una técnica menos invasiva, la embolización de la arteria pulmonar.
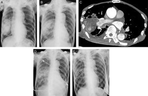
Un varón exfumador de 79 años acudió a nuestro hospital por presentar tos húmeda y pérdida de peso de un mes de evolución. Un año antes se le había diagnosticado infarto cerebral y fibrilación auricular crónica y recibía 15mg de rivaroxabán una vez al día. La radiografía de tórax mostró una masa de 12,8×7,0cm en el área inferior del pulmón derecho (fig. 1A). En la fibrobroncoscopia se observaron esputos purulentos en gran volumen, que no obstruían la vía aérea, compatibles con un absceso pulmonar. El cultivo del esputo resultó negativo, por lo que se inició tratamiento antibiótico empírico con tazobactam/piperacilina. En la radiografía de tórax realizada tras 4 días de hospitalización se observó una ligera mejoría del absceso (fig. 1B), pero una semana más tarde, el paciente presentó hemoptisis. Se practicó una tomografía axial computarizada (TAC) que reveló un nódulo que se intensificaba con el contraste, en el interior del absceso (fig. 1C), compatible con un PAP. Al día siguiente, debido a la persistencia de la hemoptisis y a la insuficiencia respiratoria progresiva se practicó una embolización de la rama A5 derecha de la arteria pulmonar con 2 espirales extraíbles Interlock® (Boston Scientific Corp), 4 espirales de embolización Hilal® y una espiral de embolización Tornado® (Cook Medical). La TAC torácica con contraste practicada el segundo día después de la embolización mostró la desaparición del nódulo intensificado y en la radiografía de tórax del tercer día se observó una marcada disminución del tamaño del absceso (fig. 1D). Un mes más tarde, la radiografía de tórax mostró la resolución casi completa del absceso (fig. 1E). Sin embargo, el paciente falleció repentinamente 39 días después de su ingreso. La causa de la muerte no se pudo esclarecer porque la familia rechazó la necropsia.
El diámetro del absceso pulmonar era superior a 6cm, por lo que se podría haber decidido tratarlo quirúrgicamente, mediante drenaje torácico o resección, además del tratamiento antibiótico1,8. En cuanto al tratamiento quirúrgico se podría haber optado por un drenaje torácico, debido a que el estado general del paciente no permitía efectuar una resección quirúrgica y el absceso era contiguo a la pleura. Sin embargo, durante la hospitalización, el paciente presentó hemoptisis, se le diagnosticó PAP y se practicó una embolización de la arteria pulmonar, que tuvo como resultado una mejoría considerable de las imágenes radiológicas. Esta evolución clínica sugirió riesgo de hemorragia, una complicación potencialmente mortal del drenaje torácico. Creemos que informar de nuestra experiencia podría influir en la selección de los tratamientos para los abscesos pulmonares de gran tamaño.
El paciente falleció repentinamente y, debido a que su familia rechazó la necropsia, no se pudo averiguar la causa de la muerte. Pese a ello, cabe señalar que el día de su fallecimiento el paciente tenía fiebre. La embolización con espiral endovascular se asocia a un riesgo de complicaciones infecciosas9, por lo que es posible que el paciente falleciera debido a una complicación infecciosa asociada al material endovascular extraño.
Este caso nos llevó a revisar el abordaje de los abscesos pulmonares de gran tamaño, cuyo tratamiento habitual podría no ser aplicable a pacientes de edad avanzada y mayor morbilidad. La presencia de un seudoaneurisma es un factor que es necesario tener en cuenta al elegir los procedimientos a utilizar, con el fin de evitar complicaciones.








