Conservative therapy is the standard approach in lung abscesses. However, abscesses greater than 6cm in diameter have little chance of healing with only conservative treatment. In this situation, surgical therapy, chest tube drainage or surgical resection should be considered.1 Pulmonary artery pseudoaneurysm (PAP) is a rare and life-threatening complication of lung abscesses.2 PAP can be successfully controlled with pulmonary artery embolization or surgical resection.3 Furthermore, spontaneous regression4 and resolution with antibiotic therapy5 have been observed. However, the mortality rate associated with ruptured PAP is greater than 50% in patients who undergo conservative therapy.6,7 We describe the case of a patient with a large lung abscess and PAP that was resolved using less invasive instrumentation through embolization of the pulmonary artery.
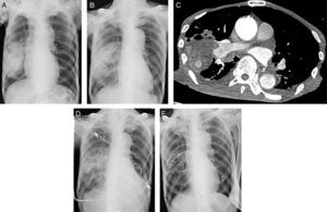
A 79-year-oldman, former-smoker, who had been suffering from wet cough and weight loss for a month, presented a tour hospital. He had been diagnosed with cerebral infarction and chronic atrial fibrillation at the age of 78 years and was receiving15mg rivaroxaban once daily. A chest X-ray showed a 12.8×7.0cm massin the right lower portion of the lung (Fig. 1A). Fiberoptic bronchoscopy showed massive purulent sputum with no obstruction of the airway, consistent with a lung abscess. Sputum culture was negative, and we empirically started antibiotic treatment with tazobactam/piperacillin. A chest X-ray performed on day 4after admission revealed slight improvement of the abscess (Fig. 1B), but hemoptysis developed 1 week later. Contrast-enhanced chest computed tomography (CT) revealed an enhanced nodule inside the abscess (Fig. 1C), suggesting PAP. The next day, because of continued hemoptysis and progressive respiratory failure, embolization of the pulmonary artery at the right A5 portion was performed with 2Interlock® detachable coils (Boston Scientific Corp), 4Hilal® embolization coils, and 1Tornado® embolization coil (Cook Medical). On day 2after embolization, contrast-enhanced chest CT revealed the disappearance of the enhanced nodule. On day 3after embolization, a chest X-ray revealed a marked decrease in the size of the abscess (Fig. 1D). One month after embolization, a chest X-ray showed almost complete resolution of the abscess (Fig. 1E). However, the patient suddenly died on day 39 after admission. The cause of death was unknown, because his family refused an autopsy.
The diameter of the lung abscess was greater than 6cm. Therefore, surgical intervention, including chest tube drainage or surgical resection, in addition to antibiotics could have been chosen to treat this abscess.1,8 Regarding surgical treatment, chest tube drainage might have been preferred because the patient's general condition did not allow surgical resection and the abscess was contiguous to the pleura. However, after admission, he complained of hemoptysis and was diagnosed with PAP, and embolization of the pulmonary artery showed remarkable improvement on chest imaging. This clinical course suggested a risk of bleeding, a life-threatening complication, with chest tube drainage. This report may have an impact on the choice of treatment for large lung abscesses.
The patient died suddenly, and because his family refused an autopsy the cause of death remains unknown. However, on the day of death, he had fever. Endovascular coil embolization is associated with a risk of developing infectious complications.9 Therefore, it is possible that the patient died from infectious complications associated with the foreign endovascular material.
Following this case, we have reviewed the management of large pulmonary abscesses, whose standard treatment may not be applicable to patients of more advanced age and morbidity. The presence of a pseudoaneurysm must be taken into consideration in any interventional strategies in order to avoid complications.
Please cite this article as: Hamada S, Nakano A, Tsukino M. Gran absceso pulmonar con seudoaneurisma de la arteria pulmonar. Arch Bronconeumol. 2017;53:454–455.








