El carcinoma mucoepidermoide de pulmón (CMP) es un tumor muy infrecuente y de baja malignidad. Presentamos un caso que sucedió en una paciente con trasplante de médula ósea.
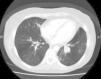
Paciente exfumadora de 38años, diagnosticada de leucemia aguda, que fue tratada con quimioterapia, radioterapia y posteriormente con un trasplante alogénico de médula ósea de donante no emparentado HLA idéntico, tras el cual sufrió enfermedad de injerto contra huésped cutánea y pulmonar, así como infecciones respiratorias de repetición. Ingresó por hemoptisis de unos 50cc, sin referir clínica infecciosa. Presentaba mínima leucocitosis, hipoxemia leve y un aumento de densidad en el lóbulo inferior izquierdo. En la TC de tórax se objetivó una ocupación de bronquios segmentarios en la base pulmonar izquierda (fig. 1). La broncoscopia mostró una masa endobronquial con placas blanquecinas, muy vascularizada, tomándose biopsias que no evidenciaron malignidad. Tras resección endobronquial por láser, se informó como adenocarcinoma con áreas mucinosas, compatible con origen pulmonar, con estudio inmunohistoquímico positivo para citoqueratina7 (CK7) y antígeno carcinoembrionario. Se realizó una lobectomía inferior izquierda mediante videotoracoscopia, con linfadenectomía mediastínica. Se identificó una lesión endobronquial polipoide parda de 3cm, revestida de epitelio bronquial conservado y con afectación de la pared bronquial, sin sobrepasarla. No infiltraba el paquete vascular ni el parénquima pulmonar. El patrón de crecimiento era glandular, con abundante material mucoide. No se objetivó mitosis, pleomorfismo nuclear ni necrosis. La celularidad neoplásica era CK7 positiva, con factor de transcripción tiroideo-1 y cromogranina negativos, mostrando positividad aislada para p63. Diagnóstico definitivo: carcinoma mucoepidermoide endobronquial de bajo grado, con borde quirúrgico libre y ganglios hiliares sin afectación neoplásica. La paciente sigue revisiones periódicas y hasta la fecha no se ha detectado recidiva tumoral.
El carcinoma mucoepidermoide es un tumor epitelial con bajo potencial maligno (supervivencia a 5años mayor del 95%), formado por células escamosas, mucinosas e intermedias. Suele originarse en glándulas salivales pero puede encontrarse en el saco lacrimal, el tracto nasosinusal, la laringe, el tiroides y los bronquios1. El CMP es poco frecuente (0,1-0,2% del total de tumores de pulmón), y más del 50% se detecta en pacientes menores de 30años2. No tiene relación con el hábito tabáquico. Debido al típico crecimiento endobronquial, puede causar síntomas inespecíficos de obstrucción o infección. Las lesiones periféricas suelen ser infrecuentes y asintomáticas. La broncoscopia es la prueba diagnóstica más útil, aunque puede resultar difícil establecer el tipo histológico. Desde el punto de vista histológico y de inmunohistoquímica es similar al originado en las glándulas salivares2. El grado de malignidad se establece según la actividad celular y la presencia de mitosis. El pronóstico se determina en función de la invasión locorregional y a distancia. Los CMP de alto grado de malignidad suelen presentarse en pacientes mayores3. El tratamiento de elección es quirúrgico, pudiendo realizarse una cirugía más conservadora cuando existe capacidad respiratoria reducida y baja malignidad4. El tratamiento adyuvante se considera innecesario, aunque algunos autores proponen radioterapia y/o quimioterapia si existe invasión ganglionar o el tumor es de alto grado5. Es recomendable el seguimiento debido a la posibilidad de metástasis o recidiva1.








