La tuberculosis (TBC) mantiene aún hoy una incidencia anual en España de 18,2/100.000habitantes1. Presentamos aquí un caso de TBC endobronquial con afectación ganglionar y cutánea, una forma poco habitual en nuestro medio.
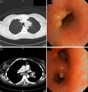
Una mujer de 45años residente en India hasta hacía 8meses consultó por un cuadro de 3meses de evolución de fiebre diaria hasta 38°C, anorexia, pérdida de peso, tos seca y disnea, sin mejoría tras 7días de tratamiento con amoxicilina-clavulánico. A la exploración tenía buen estado general; solo destacaban 2nódulos subcutáneos de 1cm en el hipocondrio izquierdo, móviles, de consistencia gomosa, algo dolorosos y sin signos inflamatorios, con otro similar en la mano izquierda. En la analítica se detectó anemia, leucocitosis y trombocitosis. La radiografía de tórax mostró una masa en el mediastino anterior, que en la tomografía axial computarizada (TAC) se informó como «masa en lóbulo superior izquierdo y región hiliar ipsilateral, con infiltración de mediastino anterior, que estenosa la luz bronquial; adenopatías subcarinales y paratraqueales ipsilaterales, junto con múltiples nódulos independientes en pulmón izquierdo, implantes pleurales y nódulos subcutáneos abdominales». En la broncoscopia la mucosa estaba inflamada, con implantes de aspecto tumoral y estenosis bronquial izquierda. En las biopsias se descartó malignidad, pero tanto en las bronquiales como en la de uno de los nódulos abdominales se observaron granulomas no necrosantes. Con cultivos inicialmente negativos, creció después un Mycobacterium tuberculosis multisensible en esputo, por lo que se diagnosticó de TBC diseminada con afectación endobronquial de tipo tumoral y cutánea. La paciente mejoró rápidamente con tuberculostáticos y corticoides. La broncoscopia fue normal a los 6meses, mientras que la TAC solo mostraba engrosamiento residual de partes blandas (fig. 1).
La TBC endobronquial aparece en el 5-40% de las TBC pulmonares activas, aunque está infradiagnosticada2,3. Se origina por implante directo desde una cavidad, foco tuberculoso o ganglio mediastínico adyacente, o por diseminación linfática o hematógena3,4. Sus síntomas son: tos (71-100%), fiebre (50%), pérdida de peso (30%), hemoptisis (18-25%), disnea, dolor torácico y anorexia2,4,5. Tanto la duración de los síntomas como la evolución de la enfermedad son variables, desde la resolución completa hasta la aparición de bronquiectasias, obstrucciones bronquiales o atelectasias. La prueba microbiológica más rentable es el lavado bronquioalveolar, por encima del esputo2–5. La radiografía puede mostrar infiltrados alveolares (35-43%), nódulos (25%), lesiones cavitadas (12%), derrame pleural (9%) o engrosamiento hiliar (7%), aunque puede ser normal en un 10-20%2,3. La TAC es útil para valorar la extensión, el grado de obstrucción bronquial y la evolución, y puede sustituir a la broncoscopia en el seguimiento4, aunque esta es de elección en el diagnóstico.
Chung y Lee3 la clasifican en 7 subtipos: caseificante (12-43%), edematoso-hiperémica (14-44%), fibroestenótica (6-10,5%), tumoral (10,5-30%)3–5, granular, ulcerativa y tipo bronquitis inespecífica; las 4 primeras con peor pronóstico, pues asocian estenosis bronquial3. Parecen representar diferentes estadios de la misma enfermedad, comenzando con lesiones inflamatorias y granulomas submucosos que evolucionan a masas, fibrosis y estenosis de la vía aérea4,5. El subtipo tumoral tiene masas endobronquiales, superficie hemorrágica y cubierta necrótica, simulando un carcinoma epidermoide. Son factores de riesgo para la estenosis bronquial residual: edad superior a 45años, tipo fibroestenótico y diagnóstico tardío2,5; su tratamiento incluye dilatación endoscópica, resección mecánica o endoprótesis, además de los corticoides, que parecen efectivos en las fases iniciales y en las formas caseificante/tumoral4, motivo por el cual fueron utilizadas en nuestra paciente, en quien se consiguió la resolución ad integrum.
La presencia de fiebre y lesiones endobronquiales o masa pulmonar obliga a descartar TBC, especialmente en inmigrantes en los primeros años tras su llegada.








