Introducción
El timolipoma es un tumor benigno del mediastino anterior poco frecuente1. Su patogenia es motivo de controversia, si bien la más aceptada es la sustitución del timo por tejido graso maduro. Es de lento crecimiento y alcanza gran tamaño. Aunque la mayoría son asintomáticos, pueden presentar síntomas locales inespecíficos o asociarse a síndromes paratímicos como la miastenia gravis, hipertiroidismo, linfangiomas, anemia aplásica, leucemia linfocítica crónica y enfermedad de Hodgkin2. Desde el punto de vista radiológico pueden simular una cardiomegalia y es difícil distinguirlos de otras tumoraciones mediastínicas.
Se describe el caso de un adulto que se presentaba un dolor pleurítico izquierdo de larga evolución e imagen radiológica indicativa de cardiomegalia, cuyo diagnóstico definitivo fue de timolipoma gigante.
Observación clínica
Varón de 26 años, sin antecedentes patológicos de interés, que consultó de urgencias por dolor torácico izquierdo de características pleuríticas, de aproximadamente 3 meses de evolución, sin otros síntomas asociados. En la exploración física destacaba, como único dato de interés, la abolición completa del murmullo vesicular en el hemitórax izquierdo. La analítica general fue normal.
En la radiografía simple de tórax, en proyección posteroanterior, se identificó una gran masa que ocupaba el hemitórax izquierdo, localizada en la cavidad pleural y mediastino anterior, que en un primer momento se catalogó como una cardiomegalia.
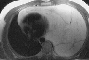
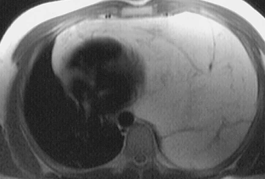
La tomografía computarizada puso de manifiesto una masa de 20 x 21 x 18 cm, que ocupaba la totalidad del hemitórax izquierdo, desplazaba el mediastino hacia el lado contralateral y colapsaba el pulmón hacia la zona más superior de este hemitórax. No se observaban signos de infiltración en las estructuras vecinas. En la resonancia magnética la tumoración brillaba en secuencias ponderadas en T1, era isointensa con la grasa y anulaba su señal en secuencias de saturación grasa (fig. 1).
Fig. 1. Resonancia magnética torácica, donde se observa una gran masa torácica izquierda de densidad grasa que ocupa toda la cavidad pleural y el mediastino anterior con colapso pulmonar completo.
Posteriormente se practicó una punción-aspiración con control radiológico que evidenció tejido adiposo maduro.
Se le intervino quirúrgicamente, con realización de una toracotomía anterolateral izquierda y exéresis en bloque de la tumoración (fig. 2).
Fig. 2. Imagen de la pieza de resección: timolipoma.
La anatomía patológica confirmó el diagnóstico de timolipoma, cuyas dimensiones fueron de 30 x 25 x 9 cm y 3.300 g de peso.
El paciente evolucionó de forma satisfactoria y se le dio de alta al décimo día postoperatorio.
Discusión
El timolipoma es una neoplasia benigna poco frecuente, constituyendo del 2 al 9% de los tumores del timo3. No tiene predisposición por el sexo y ocurre a cualquier edad. Otros nombres que ha recibido es lipoma del timo, timoma benigno, hamartoma timolipomatoso, lipotimoma y lipoma mediastínico. En la bibliografía revisada la incidencia aproximada es de 0,12 casos/ 100.000 habitantes/año4. Para explicar la patogenia de este tumor se han postulado varias teorías, de las cuales la más aceptada es la que propone que se trata de una hiperplasia tímica difusa reemplazada por tejido graso5.
Puede presentarse como una tumoración asintomática sin afectar a las estructuras adyacentes, por lo que puede crecer y alcanzar un gran tamaño antes de ser diagnosticada. Su crecimiento en el hemotórax izquierdo puede semejar una cardiomegalia, como ocurrió en el caso aquí presentado. Aproximadamente en la mitad de los pacientes se observan síntomas tales como disnea, dolor torácico y pérdida de peso4. Se ha asociado con la miastenia gravis hasta en el 10% de los casos. Otras enfermedades autoinmunitarias con las que se relaciona son el lupus eritematoso sistémico, la hipogammaglobulinemia, la enfermedad de Graves y la eritroblastopenia6.
El peso, según la bibliografía revisada7, oscila entre 154 y 6.000 g; en nuestro caso la tumoración superaba los 3.000 g de peso, con unas dimensiones de 30 x 25 x 9 cm.
Los timolipomas se caracterizan por contener elementos mesodérmicos (grasa) y endodérmicos (epitelio tímico). Desde el punto de vista macroscópico son tumores lobulados, divididos por septos y bien encapsulados, como se observó en nuestro caso. Histológicamente se componen de grandes lóbulos de tejido adiposo maduro intercalados con islotes de tejido tímico8.
En la radiografía simple, no es infrecuente que se pueda confundir con una cardiomegalia, como ocurrió en nuestro caso9. El diagnóstico diferencial hay que realizarlo principalmente con el lipoma, la hiperplasia tímica y el liposarcoma, por lo que es necesaria la realización de tomografía axial computarizada o resonancia magnética de tórax. En la resonancia magnética secuencia-T1, el tejido graso tumoral aparece atenuado y en secuencia-T2 la grasa presenta baja atenuación y los restos tímicos aparecen brillantes.
Aunque el diagnóstico se puede establecer con los medios de imagen, en algunos casos puede ser necesaria la realización de una punción-aspiración a fin de confirmar la histología.
El único tratamiento curativo es la exéresis quirúrgica del tumor. Muchos autores abogan por la esternotomía media como vía de abordaje8. En nuestro caso preferimos la toracotomía anterolateral dado que era una tumoración benigna, sin signos infiltrativos radiológicos y por la posibilidad de que se extendiera al hemotórax contralateral a través del mediastino. Además, en caso de dificultades técnicas, nos permitía la ampliación a una toracotomía bilateral transesternal o técnica de Clamshell.









