Sr. Director:Aeromonas hydrophila es un germen gramnegativo raramente identificado como patógeno humano, excepto en pacientes inmunológicamente deprimidos o que han aspirado agua contaminada tras un episodio de ahogamiento. Presentamos un caso de absceso pulmonar causado por A. hydrophila aislada en esputo y broncoaspirado en paciente sin inmunodepresión ni episodio previo de aspiración.
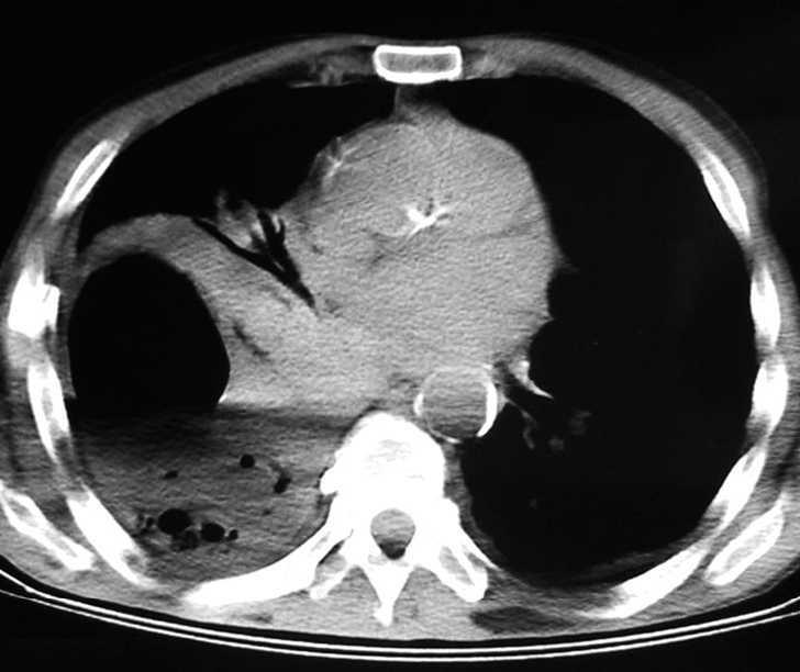
Mujer de 81 años que acudió a urgencias por expectoración hemoptoica, disnea y fiebre de 10 días de evolución. Como antecedentes presentaba bajo peso crónico e historia de reflujo gastroesofágico. En la exploración física estaba consciente, orientada, tenía una prótesis dental, pesaba 34 kg, presentaba fiebre de 38 ºC, la frecuencia respiratoria era de 32 respiraciones/min y la saturación de oxígeno del 94%. En la auscultación pulmonar destacaban crepitantes en el campo medio superior izquierdo. En la analítica practicada en el momento del ingreso la hemoglobina era de 9,4 mg/dl, el hematócrito del 28,8%, la cifra de leucocitos de 6 x 109/l (el 76,3% neutrófilos, un16,1% linfocitos, un 5,5% monocitos y el 1,2% eosinófilos), la de plaquetas de 726 x 109/l, la velocidad de sedimentación de 121 mm/h y la albúmina de 2,1 g/dl; el test de Mantoux fue negativo. La radiografía de tórax mostró una lesión cavitada en el lóbulo superior derecho. Se realizó una tomografía axial computarizada de tórax, que confirmó la presencia de dicha cavitación, de 10 cm de diámetro mayor, con pared interna irregular y nivel hidroaéreo, en el superior derecho (fig. 1). Dos hemocultivos fueron negativos. Se practicó una fibrobroncoscopia sin evidenciar lesiones endobronquiales, y se apreció escasa sangre procedente de bronquio del lóbulo superior izquierdo, con crecimiento en el broncoaspirado de Aeromonas sensible a ciprofloxacino y cefuroxima, y con resistencia a ampicilina. Asimismo, el cultivo en esputo fue positivo para A. hydrophila, con igual antibiograma que el broncoaspirado, y en ambas muestras la tinción de auramina fue negativa. Tanto el cultivo para micobacterias como para hongos fueron negativos. La citología fue negativa para células tumorales. No se realizaron lavado broncoalveolar ni biopsias transbronquiales ante la mala tolerancia, con desaturación de oxígeno importante durante el procedimiento. Se instauró tratamiento antituberculoso inicialmente, que se retiró al recibir el resultado de microbiología, momento en que se cambió a ciprofloxacino y cefuroxima. La mejoría clínica fue evidente, con desaparición de la fiebre, y en un control radiológico realizado a las 3 semanas se apreció disminución de más del 50% de la imagen radiológica.
Fig. 1. Tomografía axial computarizada de tórax en la que se aprecia una lesión cavitada con nivel hidroaéreo en el lóbulo superior derecho.
El género Aeromonas, anteriormente incluido en la familia Vibrionaceae, comprende gérmenes mayoritariamente anaerobios facultativos, oxidasa positivos y gramnegativos. Basándose en genética molecular, en la actualidad pertenece a la familia Aeromonadacea. Es un germen ubicuo cuyo hábitat natural es el agua fresca o salobre1. La mayor parte de las infecciones descritas corresponden a infecciones de heridas asociadas a traumatismos ocurridos en el agua, gastroenteritis aguda o crónica y septicemia en pacientes inmunodeprimidos2. Recientemente se ha reconocido su papel como causa de infecciones hepatobiliares y pancreáticas3. De manera excepcional se describe a A. hydrophila como causa de enfermedad del tracto respiratorio; la mayor parte de los casos tenían una historia de aspiración y evidencia de enfermedad difusa bilateral, lo que condujo a un síndrome de distrés respiratorio del adulto y alta mortalidad (40%)4. Hasta el momento actual sólo se han reconocido 2 casos de absceso pulmonar sin inmunodepresión previa (uno de ellos tras ahogamiento)5,6, los cuales mostraron, como en nuestra paciente, resistencia a ampicilina y se trataron con cefuroxima, con evolución a la curación. Debemos incluir este germen en la larga lista de causas de cavitación pulmonar.








