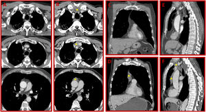
A 58-year-old man presented for evaluation of the right preauricular mass. Head, neck and thorax computed tomography (CT) scan showed an infiltrative neoplasm of the right parotid gland. In thorax CT, there were pleuroparenchymal band formations. Mediastinum organs were completely normal (Fig. 1A, C, and E). No distant metastasis was demonstrated in positron emission tomography (PET)-CT. The patient was treated surgically. He did not receive chemotherapy. Histopathologic examination revealed parotid gland carcinoma. After three months, control CT and PET-CT showed rebound thymic hyperplasia in the anterior mediastinum (Fig. 1B, D, and F) without increased FDG uptake. There was any metastatic focus in PET-CT scans.
Chemotherapy for lymphoma and malignant germ cell tumors are most common causes of rebound thymic hyperplasia1. Rebound thymic hyperplasiais very rare in adult population2. This unusual condition, which has not been reported as associated with parotid cancer, can mimic metastatic processes in sectional imaging scans. Thus correct diagnosis is crucial.
Conflict of interestThe authors declare that the article content was composed in the absence of any commercial or financial relationships that could be construed as a potential conflict of interest.








