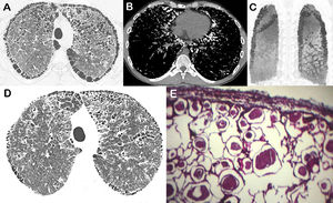
A 32-year-old non-smoking man with pulmonary alveolar microlithiasis (PAM) was admitted with cough and dyspnea. Laboratory test results were unremarkable. Chest computed tomography (CT) revealed paraseptal emphysema compromising the entire extent of the subpleural pulmonary parenchyma, and calcifications predominating in the paramediastinal regions (Fig. 1A–C). CT performed 12 years previously showed similar alterations, to a lesser extent (Fig. 1D). Pulmonary biopsy performed 12 years previously showed multiple laminated microliths filling the alveolar spaces compatible with PAM (Fig. 1E). The patient was managed on an outpatient basis.
Chest computed tomography axial image obtained with lung window setting (A), mediastinal window setting (B) and coronal (C) reformatted reconstruction using minimum intensity projection (MinIP) showing extensive paraseptal emphysema and pulmonary calcifications predominating in the paramediastinal regions. Note also signs of interstitial emphysema (especially in A). In D, an axial scan with lung window setting obtained 12 years previously demonstrating incipient paraseptal emphysema. In E, a photomicrograph of a pulmonary biopsy specimen showing laminated microliths filling the alveolar spaces (original magnification×100; hematoxylin and eosin stain).
PAM is a rare autosomal recessive disorder characterized by the intra-alveolar accumulation of spherical calcified concretions (called calciferites or microliths) in the absence of any known calcium metabolism disorder. Most patients with PAM are asymptomatic at the time of diagnosis, and the disease is usually detected incidentally during routine examinations. CT studies of PAM frequently demonstrate the presence of subpleural cysts with diameters of 5–10mm, which may represent early lung fibrosis. These cysts correspond to the “black pleura” chest-X ray sign. The CT findings of PAM are so characteristic that additional diagnostic investigation is usually unnecessary, especially in patients with other family members with PAM.1,2
Conflicts of interestThe authors declare that they have no conflicts of interest to express.








