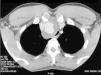
We present the case of a 26-year-old male: a farm worker and non-smoker, with unremarkable medical and family history. He was referred by his family doctor to the pneumology clinic with symptoms of dyspnea progressing over the last 3 years. During that time, he had been treated with beta-agonist inhalers and inhaled corticosteroids for suspicion of bronchial asthma, in spite of which the dyspnea continued to progress, to the point that, in recent months, it has limited his daily activities. The patient had no cough, no expectoration, and no other respiratory symptoms. The only revelation from his medical history was that, 4 years earlier, he had been in a high-speed auto accident in which he suffered closed chest trauma, with no medical consequence of any kind at that time. Physical examination revealed a satisfactory general condition, vital signs within normal range, cardiopulmonary auscultation within normal limits, and oxygen saturation of 98% (fraction of inspired oxygen 21%), the rest of the examination being unremarkable. Simple chest X-ray showed a widening of the upper mediastinum, with compression and displacement of the trachea toward the left. A CT scan of the chest was ordered, which revealed the existence of a 3.5cm×3cm×2.5cm saccular aneurysm of the innominate artery, surrounded by a thick wall (up to 15mm). This wall showed small calcifications in its sinus. The aneurysm was causing severe compression of the trachea and displacing it toward the left side (Fig. 1). Taking the patient's history into consideration, these findings were consistent with a chronic post-traumatic pseudoaneurysm. Flow–volume curves confirmed a fixed extrathoracic obstruction. Regarding laboratory tests, both the haemogram and chemistries were within normal limits; arterial blood gases were also normal.
Pseudoaneurysm of the innominate artery is a rare complication of closed chest trauma. It has various clinical presentations—from superior vena cava syndrome to a chance finding of mediastinal widening on chest X-ray. Tracheal stenosis secondary to innominate artery aneurysm is an uncommon condition,1,2 and progressive dyspnea as the clinical presentation of a pseudoaneurysm is even more uncommon.3 The great vessels within the chest are rarely damaged as a result of closed trauma; when they are damaged, however, the innominate artery is the second-most affected mediastinal vessel. Approximately 100 cases of innominate artery lesions secondary to closed chest trauma have been reported in the literature.4 Direct trauma to the great vessels results primarily from high-speed motor vehicle collisions. The injury is due to the effect of deceleration, during which the antero-posterior force applied in the chest reduces the space between the spine and the sternum, thus displacing the heart posteriorly and toward the left. This displacement increases the curvature of the aortic arch and the pressure in the thoracic outlet vessels. Clinical symptoms of closed trauma to the brachiocephalic arterial trunk—also known as the innominate artery—include diminished peripheral pulse, superior cava syndrome, dysphagia, bruits, and pulsatile suprasternal mass. On the other hand, the trauma may be asymptomatic and detected only as a finding on X-ray. Our patient, presenting 4 years later with the consequences of a closed chest trauma, is an extremely unusual case. There have been reported cases of acute respiratory distress from tracheal compression secondary to aortic aneurysm and other conditions, such as vascular rings. There have also been some cases related to innominate artery dilatation5 and even cases in which massive tracheal necrosis occurred.6 However, there has been no reported case of a slowly progressive dyspnea on exertion resulting from pseudoaneurysm of the innominate artery. This is a situation where CT scan of the chest is a sensitive detection tool that may yield an initial working diagnosis; however, the diagnosis must be confirmed by angiography. In addition, intraluminal clots may be found within the aneurysm, and the local effects of the hematoma or the aneurysm on adjacent structures may be apparent, enabling a true lumen to be distinguished from a false lumen. In conclusion, although tracheal stenosis is quite uncommon, it is a condition that should come to mind in patients with a history of closed chest trauma, which could result in aneurysms of the great vessels.
Please cite this article as: Caballero-Vázquez A, et al. Seudoaneurisma postraumático de la arteria innominada. Una presentación infrecuente de estenosis traqueal. Arch Bronconeumol. 2011;47:614–5.








