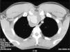
Presentamos el caso de un varón de 26 años, trabajador agrícola, no fumador y sin antecedentes personales o familiares de interés. Fue derivado por su médico de cabecera a la consulta de neumología con clínica de disnea progresiva en los últimos 3 años, en los que había sido tratado por sospecha de asma bronquial con inhaladores beta-agonistas y corticoides inhalados, a pesar de lo cual continuó con disnea que había progresado hasta el punto, en los últimos meses, de limitar sus actividades diarias. El paciente no presentaba tos ni expectoración ni otros síntomas respiratorios. Su historial médico solo revelaba que 4 años antes había sufrido un accidente de tráfico a alta velocidad que le causó un traumatismo torácico cerrado, sin ningún tipo de consecuencia médica en ese momento. El examen físico reveló un aceptable estado general, constantes vitales dentro de un rango normal, auscultación cardiopulmonar dentro de la normalidad, saturación de oxígeno (fracción inspiratoria de oxígeno del 21%) del 98% y resto de la exploración sin alteraciones reseñables. La radiografía simple de tórax mostró un ensanchamiento del mediastino superior, con compresión y desplazamiento traqueal hacia la izquierda, por lo que se solicitó una TC de tórax, en la cual se puso de manifiesto la existencia de un aneurisma sacular de la arteria innominada de 3,5×3×2,5cm, rodeado de una pared gruesa (hasta 15mm). Dicha pared mostraba pequeñas calcificaciones en su seno. El aneurisma producía una compresión severa de la tráquea y la desviaba hacia el lado izquierdo (fig. 1). Estos hallazgos, teniendo en cuenta los antecedentes del paciente, eran compatibles con un seudoaneurisma postraumático crónico. Se realizaron curvas flujo-volumen, confirmándose una obstrucción extratorácica fija. En cuanto a las pruebas de laboratorio, tanto el hemograma como la bioquímica estuvieron dentro de la normalidad. La gasometría arterial también fue normal.
El seudoaneurisma de la arteria innominada es una rara complicación del traumatismo torácico cerrado. Tiene varias presentaciones clínicas, desde síndrome de vena cava superior a encontrarse como hallazgo casual en la radiografía de tórax en forma de ensanchamiento mediastínico. La estenosis traqueal secundaria a aneurisma de la arteria innominada es una afección poco frecuente1,2. La presentación clínica del seudoaneurisma como disnea progresiva es aún más infrecuente3. Los grandes vasos intratorácicos son raramente dañados como consecuencia de un traumatismo cerrado, pero cuando lo son, la arteria innominada es el segundo vaso más afectado del mediastino. En la literatura se han descrito aproximadamente 100 casos de lesiones de la arteria innominada por traumatismo torácico cerrado4. El trauma directo de los grandes vasos se produce, predominantemente, por una colisión de vehículos de motor a alta velocidad y la lesión se debe al efecto de la desaceleración. Durante la desaceleración, la fuerza anteroposterior aplicada en el tórax reduce el espacio entre la columna vertebral y el esternón, desplazando así el corazón posteriormente y hacia la izquierda. Este desplazamiento aumenta la curvatura del arco aórtico y la tensión en los vasos torácicos de salida. Los síntomas clínicos de un traumatismo cerrado del tronco arterial braquiocefálico, también conocido como arteria innominada, incluyen disminución del pulso periférico, el síndrome de cava superior, la disfagia, soplos y masa pulsátil supraesternal. Alternativamente, el traumatismo puede ser asintomático y detectarse solo como hallazgo radiológico. Este caso, en el que las consecuencias de un traumatismo torácico cerrado se presentan después de un período de 4 años, es extremadamente inusual. Por otro lado, se han descrito casos de distrés respiratorio agudo secundario a la compresión traqueal por aneurismas de la aorta y otras alteraciones, como anillos vasculares. Algunos de ellos se dieron también en relación con la dilatación de la arteria innominada5, y en otros incluso se produjo necrosis traqueal masiva6. Sin embargo, no se ha descrito ningún caso de disnea de esfuerzo de progresión tan lenta como consecuencia de un seudoaneurisma de la arteria innominada. En este sentido, la TC de tórax es una herramienta de detección sensible y puede constituir una aproximación inicial al diagnóstico, si bien la confirmación debe efectuarse mediante angiografía. Además, pueden hallarse coágulos intraluminales dentro del aneurisma, se pueden evidenciar los efectos locales del hematoma o del aneurisma sobre las estructuras adyacentes y permite la distinción entre los lúmenes verdadero y falso. En conclusión, la estenosis traqueal, aunque muy infrecuente, es una entidad a tener en cuenta en pacientes con historia previa de traumatismo torácico cerrado que pudiera ser causante de aneurismas de grandes vasos.








