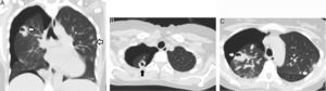
Se presenta el caso de una mujer de 41 años con antecedentes de trasplante renal que había evolucionado a disfunción crónica del injerto, y se encontraba bajo hemodiálisis trisemanal a través de un catéter transitorio yugular. La paciente estaba ingresada con diagnóstico de sepsis por catéter con hemocultivos positivos para Staphylococcus aureus resistente a meticilina. Evolucionó con disnea súbita y dolor torácico a las 72h del ingreso. Se realizó una tomografía computarizada torácica que evidenció un neumotórax derecho asociado a nódulos pulmonares cavitados (fig. 1), algunos de ellos periféricos. Se estableció el diagnóstico de neumotórax espontáneo secundario a la rotura de émbolos sépticos cavitados en el espacio pleural. El neumotórax fue tratado con un drenaje pleural durante 4 días. Se indicó tratamiento antibiótico con vancomicina durante 4 semanas con buena evolución clínica.
La infección asociada a catéter es una causa frecuente de embolias sépticas pulmonares1. El microorganismo responsable suele ser el Staphylococcus aureus. Las lesiones son cavitadas en el 56% de los casos1 y, cuando su ubicación es periférica, pueden abrirse al espacio pleural y desencadenar un neumotórax espontáneo secundario2. Esta complicación es infrecuente y se presenta habitualmente entre los 5 y 15 días de iniciado el tratamiento antibiótico2.








