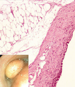
Los lipomas endobronquiales son tumores benignos que constituyen del 0,1% al 0,4% de todos los tumores bronquiales, pueden dar lugar a una sospecha errónea de malignidad y suelen cursar con clínica de asma1. Describimos el caso de una mujer de 43años remitida por asma mal controlada en los 2últimos años y neumonía de lenta resolución en el lóbulo inferior derecho. En la TC torácica se objetivó ocupación del bronquio inferior derecho por material de contenido graso. La broncofibroscopia permitió evidenciar una tumoración amarillenta en la zona descrita que obstruía casi por completo la entrada a la pirámide basal derecha, de aspecto redondeado, contornos lisos y muy vascularizada (fig. 1). Se remitió a Cirugía Torácica para tratamiento, y el estudio anatomopatológico de la lesión confirmó que estaba formada por grupos de adipocitos.
El diagnóstico de estos tumores suele ser tardío debido a su lento crecimiento y a la inespecificidad de los síntomas, siendo la tos el más frecuente. Un retraso diagnóstico conlleva retraso terapéutico, lo cual incrementa la morbilidad ocasionada por la obstrucción distal a la lesión2. Existen múltiples opciones terapéuticas, desde técnicas endobronquiales (láser YAG, crioterapia…) hasta resección quirúrgica, pero se recomienda individualizar cada caso por parte de un equipo multidisciplinar.
FinanciaciónNinguna.
Conflicto de interesesNo existe ningún conflicto de intereses.
A los Dres P. León Atance y J. Valer Corellano, de los Servicios de Cirugía Torácica y Anatomía Patológica del Hospital General Universitario de Albacete, respectivamente, por su colaboración.








