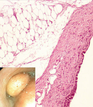
Endobronchial lipomas are benign tumours that account for 0.1%–0.4% of all bronchial tumours. They often present with a clinical picture of asthma and can be misdiagnosed as malignancies.1 The case of 43-year-old woman with a 2-year history of poorly controlled asthma and slow-resolving right lower lobe pneumonia is described. Chest CT showed the right lower bronchus occupied by fatty content material. Fibreoptic bronchoscopy revealed it to be a highly vascularised, rounded, yellowish tumour with smooth outlines that almost completely obstructed the entrance to the right lung base (Fig. 1). The patient was referred to the thoracic surgery department for treatment, and the histology report confirmed that the lesion was formed by groups of adipocytes.
These tumours are often diagnosed late, due to their slow growth and unspecific symptoms, of which cough is the most common. A delayed diagnosis leads to late treatment, increasing morbidity due to the distal obstruction caused by the lesion.2 Many treatment options, ranging from endobronchial techniques (YAG laser, cryotherapy, etc.) to surgical resection, are available and intervention should be planned on a case-by-case basis by a multidisciplinary team.
FundingNone.
Conflict of InterestsThe authors declare no conflict of interests.
We would like to thank Dr. P. León Atance and Dr. J. Valer Corellano, from the Thoracic Surgery and Anatomical Pathology Departments of the Hospital General Universitario de Albacete, respectively, for their collaboration.
Please cite this article as: Sacristán Bou L, Fernández Robledo E, Peña Blas F. Lipoma endobronquial: una causa infrecuente de obstrucción bronquial. Arch Bronconeumol. 2014;50:78–79.








