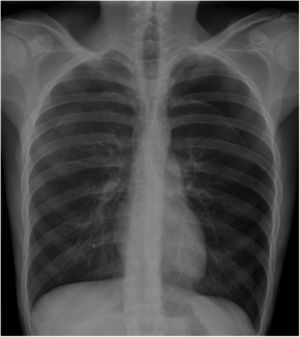
We report the case of a 19-year-old man with no significant medical history who attended the emergency room with a history of several hours of dyspnea and chest pain. Physical examination revealed bilateral reduced breath sounds, and chest X-ray showed bilateral pneumothorax (Fig. 1). The patient was treated with chest drains and scheduled for urgent surgical intervention. Preoperative evaluation revealed partial factor VII deficiency, which was corrected prior to surgery. Consecutive bilateral video-assisted thoracoscopy was performed which showed apical bullae consistent with emphysema. Atypical segmentectomy and mechanical pleurodesis were performed. The patient was discharged on postoperative day 5, after requiring replacement of a chest tube for right pneumothorax due to untimely withdrawal of the surgical drain.
The incidence of spontaneous simultaneous bilateral primary pneumothorax is around 1%.1 Clinical presentation can range from dyspnea to severe respiratory failure, so early diagnosis and treatment with pleural drainage is required to prevent life-threatening events such as tension pneumothorax. Around 65% of cases are associated with underlying lung disease, although this entity has also recently been described in patients with low body mass index and subpleural bullae.2
Please cite this article as: Rodríguez Alvarado I, et al. Neumotórax bilateral primario espontáneo simultáneo en paciente joven. Arch Bronconeumol. 2020;56:250.








