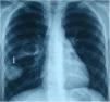
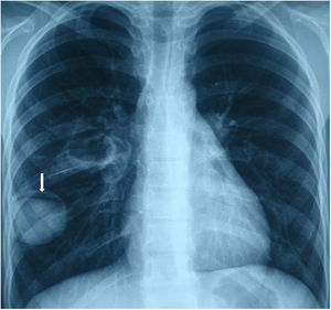
A 60-year-old woman with 35 pack-year smoking history presented with a primary complaint of productive cough. Haemoptysis was observed 2 months later. No systemic symptoms such as weight loss, fever, or night sweats occurred. Chest radiography and computed tomography were performed, and an intrabronchial lesion extending from the right main bronchus to lower bronchus (Fig. 1A, arrows) was detected. Subsequently, bronchoscopy was performed, which detected a protruding lesion with an irregular surface and necrosis in the endobronchial region (Fig. 1B). The biopsy specimen from the lesion was pathologically examined. Microscopic findings of diffuse proliferation of large neoplastic lymphoid cells with CD20 positivity led to a diagnosis of endobronchial diffuse large B-cell lymphoma (DLBCL). Further examinations showed no presence of distant metastasis, and chemotherapy was initiated.
Primary pulmonary lymphomas are rare entities, and among them, an endobronchial DLBCL is even rarer; therefore, the bronchoscopic findings of DLBCL are recognised insufficiently even by respiratory medicine specialists. Existing knowledge characterises the bronchoscopic findings of endobronchial lymphoma as multi-nodular, protruding lesions with a smooth surface.1 However, in aggressive lymphoma, the lesion usually shows an irregular surface and necrosis,2 resembling a carcinomatous lesion.
We would like to thank Editage (www.editage.jp) for English language editing.








