Suggestions
Guide for authors
Searcher
Journal Information
Vol. 56. Issue 4.
Pages 249 (April 2020)
Clinical Image
Full text access

Moon Sign Due to Hydatid Cyst in Chest-X-ray

Signo de la media luna debido a un quiste hidatídico en la radiografía de tórax
Visits
4003
Yener Aydin
Corresponding author
dryeneraydin@hotmail.com

Corresponding author.
, Atilla Eroglu, Ali Bilal Ulas
Department of Thoracic Surgery, Ataturk University, Medical Faculty, Erzurum, Turkey
This item has received
Article information
Full Text
Bibliography
Download PDF
Statistics
Figures (2)
fig0005
fig0010
Full Text

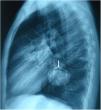
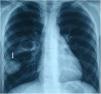
A 17 years old male presented with cough. Posteroanterior and lateraly direct radiography showed cavitary lesion in the middle zone and “moonsign” in the lower zone of the right lung (Figs. 1 and 2). The patient underwent right thoracotomy. Cystotomy and capitonnage was performed to hydatid cyst.

Fig. 1.

Moon sign is seen on the posteroanterior chest X-ray (arrow).

Fig. 2.

Moon sign is seen on the lateral chest X-ray (arrow).

Radiologically, there are many radiological signs associated with the hydatid cyst.1,2 Moon sign is seen when air enters between the pericyst and endocyst. This finding indicates that the hydatid cyst will rupture. Radiological findings have an important role in the diagnosis of pulmonary hydatid cyst.

References
[1]
Y. Aydin, H. Ogul, A. Eroglu.
A rare radiological finding in pulmonary hydatid cyst: grape cluster appearance.
Arch Bronconeumol, (2019),
[2]
M.K. Garg, M. Sharma, A. Gulati, U. Gorsi, A.N. Aggarwal, R. Agarwal, N. Khandelwal.
Imaging in pulmonary hydatid cysts.
World J Radiol, 8 (2016), pp. 581-587
Copyright © 2019. SEPAR
Archivos de Bronconeumología
Article options
Tools