Un paciente varón de 30 años, sin antecedentes de interés, acudió a urgencias en 2007 por pérdida de visión. Se confirmó un defecto campimétrico compatible con una neuritis óptica. Ante estos hallazgos se administró un tratamiento con corticoides (1g/día durante 5 días) y se decidió realizar una resonancia magnética (RM) craneal. No se realizaron estudios radiológicos del tórax en este episodio. En la RM craneal (fig. 1) se identificaron lesiones focales en sustancia blanca, compatibles con una enfermedad desmielinizante. Dado que el paciente no cumplía todos los criterios diagnósticos de esclerosis múltiple (EM) y que no presentaba nuevos episodios de focalidad neurológica durante el seguimiento, se decidió no instaurar un tratamiento específico y realizar un seguimiento ambulatorio.
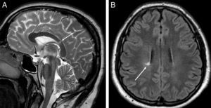
RM de cráneo. Imagen sagital potenciada en T2 (A) en la que se observa una lesión focal hiperintensa en el esplenio del cuerpo calloso (flecha blanca). Imagen axial FLAIR (B) en la que se visualiza una lesión focal hiperintensa en la sustancia blanca periventricular (flecha blanca). Ambas lesiones son inespecíficas desde el punto de vista radiológico, pero en un contexto clínico adecuado compatibles con una enfermedad desmielinizante.
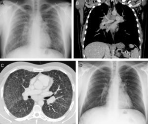
Se realizaron varias RM craneales de control, en las que se demostró una leve progresión de la enfermedad pero sin repercusión clínica, manteniéndose el diagnóstico de presunción de EM. Seis años después de este episodio, el paciente presentó un cuadro de tos y disnea. En una radiografía de tórax (fig. 2A) se observó un ensanchamiento del mediastino, un aumento del tamaño de los hilios pulmonares y una afectación intersticial, por lo que se decidió realizar una TC de tórax ante la sospecha radiológica de posible sarcoidosis. En la TC se confirmó la presencia de múltiples adenopatías en mediastino y en ambos hilios pulmonares (fig. 2B), así como una severa afectación intersticial (fig. 2C). El diagnóstico radiológico de presunción fue el de sarcoidosis (estadio II), que fue confirmada histológicamente mediante una biopsia transbronquial. Tras la instauración del tratamiento con corticoides sistémicos e inhalados (en pauta descendente) el paciente mejoró desde el punto de vista clínico y radiológico (fig. 2D). Una nueva RM de cráneo de control mostró estabilidad de las lesiones con respecto al último estudio.
Radiografía de tórax (A) en la que se observa un ensanchamiento mediastínico, un aumento del tamaño de los hilios pulmonares y un patrón intersticial. La TC de tórax confirma la presencia de adenopatías mediastínicas de tamaño significativo, una afectación hiliar bilateral (B, reconstrucción coronal con contraste intravenoso) y del parénquima pulmonar (C, imagen axial en ventana de pulmón). Radiografía de tórax (D) obtenida 6 meses después del comienzo del tratamiento con corticoides que muestra una normalización de los hallazgos.
La sarcoidosis es una enfermedad multisistémica de causa desconocida, y afecta típicamente al pulmón y ganglios intratorácicos, aunque pueden verse afectados órbitas, hígado, corazón, bazo, glándulas salivales, hueso y sistema nervioso central1,2. La neurosarcoidosis es infrecuente (5% de todos los pacientes) y su diagnóstico suele ser de exclusión, dada la dificultad de obtener muestras biológicas3. No obstante, el conocimiento de esta entidad puede facilitar un diagnóstico precoz y evitar déficits neurológicos. Es más, un tratamiento equivocado con interferón (utilizado en algunos enfermos con EM) en pacientes con una neurosarcoidosis no sospechada puede empeorar las manifestaciones de la enfermedad4,5. La particularidad de nuestro caso consiste en que nuestro paciente fue inicialmente diagnosticado de una probable EM aunque, 6 años más tarde y a la luz de los hallazgos radiológicos torácicos, se sugirió una sarcoidosis. Ante la inactividad clínica de la supuesta enfermedad desmielinizante, se modificó la sospecha clínica inicial de EM de forma consensuada con los Servicios de Neumología, Neurología y Radiología por la de sarcoidosis con afectación neurológica. Este caso demuestra la complejidad del diagnóstico de esta enfermedad en pacientes que debutan con clínica neurológica, y la importancia de incluir la sarcoidosis en el diagnóstico diferencial de las enfermedades desmielinizantes del sistema nervioso central.









