Introducción
La variz pulmonar es una de las malformaciones vasculares pulmonares menos frecuentes. Se define como una dilatación venosa pulmonar, de origen congénito o adquirido. En este último caso suele relacionarse con una valvulopatía mitral1. En algunas ocasiones la lesión puede simular un nódulo pulmonar, y debe tenerse en cuenta como una de las etiologías poco frecuentes a descartar en el estudio del nódulo pulmonar solitario.
A continuación describimos el caso de una paciente que presentaba un nódulo pulmonar que variaba de tamaño en las diferentes radiografías de tórax realizadas y, que tras efectuar los estudios pertinentes, se diagnosticó de variz pulmonar. Esta malformación vascular se encontraba en el interior de una bulla pulmonar, presentación que no ha sido descrita con anterioridad.
Observación clínica
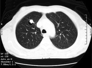
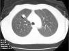
Mujer de 69 años, remitida a nuestro servicio para el estudio de un nódulo pulmonar. La paciente no refería hábitos tóxicos y como único antecedente de interés destacaba el diagnóstico de diabetes mellitus tipo 2, habiendo requerido un ingreso hospitalario por coma hiperglucémico. Cuatro meses antes del ingreso había presentado un episodio de hemoptisis autolimitado. En la radiografía de tórax se objetivó un nódulo pulmonar de unos 2 cm de diámetro en el lóbulo superior derecho, de bordes lisos y bien delimitado, presente en una radiografía previa practicada 6 meses antes, aunque de menor tamaño. No existían hallazgos destacables en la exploración física. La analítica y el electrocardiograma realizados al ingreso no presentaban alteraciones. Se realizó una fibrobroncoscopia sin objetivarse alteraciones macroscópicas. La microbiología y citología del broncoaspirado no evidenciaron hallazgos patológicos. En un nuevo control radiológico practicado un mes más tarde no se observaba el nódulo pulmonar. Sin embargo, en la tomografía computarizada de tórax se demostró la existencia de una imagen nodular, de 1,5 cm de diámetro máximo, en el lóbulo superior derecho. Esta imagen captaba contraste de forma muy significativa (similar a la captación de vena y arteria pulmonares), lo que hizo sospechar que su origen fuera vascular. La lesión estaba situada en el interior de una bulla de 2 cm de diámetro (fig. 1). Se realizaron pruebas funcionales respiratorias que no objetivaron alteraciones significativas: capacidad vital forzada (FVC) de 2,06 l (85% ref.), volumen espiratorio forzado en el primer segundo (FEV1) de 1,94 l (109% ref.), FEV1/FVC del 94% y capacidad pulmonar total de 4,30 l (93% ref.). La gasometría arterial respirando aire ambiente mostró: pH de 7,41, presión arterial de oxígeno de 87 mmHg y presión arterial de anhídrido carbónico de 38 mmHg. Se realizó gasometría arterial respirando con oxígeno al 100%, que mostró los siguientes valores: pH de 7,44, presión arterial de oxígeno de 601 mmHg y presión arterial de anhídrido carbónico de 35 mmHg. La fracción de mezcla venosa (Qs/Qt) calculada a partir de estos valores fue del 4%. Se practicó una arteriografía pulmonar en la que no se encontraron alteraciones ni en las arterias pulmonares en sus ramas de bifurcación ni en la circulación arterial intraparenquimatosa. Sin embargo, en la fase venosa del estudio se evidenció una dilatación de morfología sacular que dependía de una rama venosa del segmento apical del lóbulo superior derecho (fig. 2). Se realizó una aortografía torácica en la que no se evidenció conexión con la circulación sistémica, por lo que se descartó irrigación mixta de la dilatación. La arteriografía bronquial selectiva tampoco demostró alteraciones significativas. Se realizó ecocardiograma que descartó cualquier tipo de valvulopatía u otro tipo de enfermedad cardíaca. Dada la ausencia de repercusión clínica, hemodinámica y gasométrica de dicha malformación vascular, se decidió no practicar ningún tipo de intervención y se dio de alta a la paciente, sin que haya presentado complicaciones posteriores.
Fig. 1. Tomografía computarizada de tórax donde se objetiva una imagen nodular en el lóbulo superior derecho que capta contraste y es indicativa de un origen vascular; la anomalía se halla situada en el interior de una bulla.
Fig. 2. Arteriografía pulmonar. En la fase venosa del estudio se evidenció una dilatación de morfología sacular que dependía de una rama venosa del segmento apical del lóbulo superior derecho.
Discusión
La variz pulmonar es una malformación vascular poco frecuente que consiste en una dilatación anómala de un segmento de una vena pulmonar. Por su morfología, se clasifica en 3 grupos: sacular (localizada, de forma oval), tortuosa (extensa e irregular) o confluente (localizada en la confluencia de las venas pulmonares). Estos 2 últimos tipos de variz se han relacionado con hipertensión venosa pulmonar, sobre todo las de tipo confluente2. En la revisión realizada por Uyama et al2 se objetivó que un 62% de las varices asociadas a enfermedad valvular eran de tipo confluente y un 19%, tortuosas. No se encontró ningún caso de variz sacular asociada a hipertensión venosa pulmonar, por lo que se planteó la importancia de los factores locales en el origen de este tipo de anomalía vascular. El caso clínico presentado coincide con estos hallazgos, ya que la variz que presentaba la paciente era de tipo sacular y no existía enfermedad valvular asociada. El hecho de que dicha anomalía se encuentre en el interior de una bulla hace pensar que ésta haya contribuido a la formación de la variz como factor local. No existe ninguna referencia previa de una variz en la pared de una bulla.
En la mayoría de los casos las varices pulmonares son asintomáticas y suelen ser hallazgos casuales en la radiografía de tórax1. La localización más frecuente es en el lóbulo inferior derecho1. En raras ocasiones, como en el caso presentado, se puede asociar a hemoptisis. En casos aislados se han descrito las siguientes complicaciones: trombosis de la variz y embolización sistémica secundaria, rotura de la variz en el espacio pleural o bronquial. También se han descrito complicaciones quirúrgicas asociadas a la realización innecesaria de una toracotomía diagnóstica3, situación infrecuente en la actualidad debido al avance tecnológico de las técnicas de imagen. Se han descrito otras manifestaciones raras de la enfermedad como disfagia o la presencia de un síndrome de lóbulo medio secundario a compresión extrínseca1.
Es típico que al realizar la radiografía de tórax, con las maniobras de Valsalva o Mueller, varíe el tamaño de la variz4. Este hecho es el que explicaría la variación del diámetro, incluso la desaparición de la lesión, en las radiografías realizadas en el caso presentado.
El diagnóstico de la variz pulmonar se establece por los resultados de la angiografía pulmonar, que debe cumplir los siguientes criterios4: a) fase arterial normal sin presencia de anomalías ni shunt capilar; b) presencia de dilatación en la fase venosa que se rellena de contraste al mismo tiempo que las otras venas; c) las varices drenan directamente en la aurícula izquierda; d) el vaciamiento de la variz está retrasado en comparación con las venas pulmonares normales, y e) en el caso de venas pulmonares tortuosas, que éstas afecten fundamentalmente a la porción proximal de la vena. En la última década han aparecido nuevas técnicas para el diagnóstico de estas anomalías. El ecocardiograma es útil en varices próximas al corazón y posee la ventaja de poder valorar la presencia de enfermedad valvular en el mismo acto diagnóstico. Habitualmente se utiliza el ecocardiograma transesofágico5, aunque también se ha descrito el diagnóstico mediante ecocardiograma transtorácico6. Asimismo se han empleado la resonancia magnética nuclear y la tomografía axial computarizada helicoidal1,7.
En la mayoría de los casos no se debe realizar ningún tratamiento. La resección quirúrgica de la variz se reserva para los pacientes que presenten complicaciones importantes3. El control radiológico es fundamental, aunque normalmente no existe progresión de la lesión con el tiempo8. En los casos en que exista enfermedad valvular asociada, la intervención quirúrgica sobre la válvula puede disminuir el tamaño de las varices1.
En conclusión, ante la presencia de un nódulo pulmonar que varíe de tamaño en el tiempo, debe sospecharse una malformación vascular pulmonar, que en raras ocasiones puede tratarse de una variz pulmonar. Para su diagnóstico debe realizarse una prueba de imagen avanzada. En caso de persistir dudas diagnósticas acerca del origen vascular de la lesión, la técnica de elección para el diagnóstico es la arteriografía pulmonar, que permitirá diferenciar una malformación arteriovenosa de una variz pulmonar u otras anomalías. Si se confirma el diagnóstico de variz pulmonar, la conducta debe ser expectante y sólo se planteará el tratamiento quirúrgico en los casos en que exista riesgo de complicaciones graves.
Correspondencia: Dr. J. Sellarés-Torres.
Servei de Pneumologia. Hospital Clínic.
Villarroel, 170. 08036 Barcelona. España.
Correo electrónico: jacobosellares@wanadoo.es
Recibido: 27-4-2005; aceptado para su publicación: 10-5-2005.









