Una mujer de 47años fue remitida a nuestro hospital para un estudio diagnóstico de un tumor pulmonar. La TC de tórax reveló la presencia de un nódulo redondeado, bien definido, de 2,4cm en S2, adyacente al bronquio del lóbulo superior derecho. La ecografía endobronquial mostró un tumor hipoecogénico, bien definido, con una cápsula ecogénica y un refuerzo acústico posterior. El diagnóstico de schwannoma se confirmó con el material obtenido mediante aspiración por punción transbronquial guiada con ecografía endobronquial. Se practicó a la paciente una tumorectomía porque existía la posibilidad de una neumonía obstructiva. El diagnóstico anatomopatológico de la pieza quirúrgica fue también de schwannoma. La aspiración por punción transbronquial guiada con ecografía endobronquial y los resultados de la ecografía endobronquial podrían ser útiles para el diagnóstico de un schwannoma intrapulmonar.
A 47-year-old woman was referred to our hospital for further examination of a lung tumor. CT of the chest revealed a round, well-defined 2.4-cm nodule in S2, adjacent to right superior lobe bronchus. Endobronchial ultrasonography showed a well-defined, hypoechoic tumor with echogenic capsule and posterior acoustic enhancement. Diagnosis of schwannoma was confirmed from the specimen obtained by endobronchial ultrasound-guided transbronchial needle aspiration. She underwent tumorectomy due to the possibility of obstructive pneumonia. Pathology diagnosis from the surgical specimen was also schwannoma. Endobronchial ultrasound-guided transbronchial needle aspiration and findings with endobronchial ultrasonography might be helpful in the diagnosis of intrapulmonary schwannoma.
El schwannoma intrapulmonar es un tumor muy poco frecuente que suele diagnosticarse mediante el examen anatomopatológico postoperatorio. Presentamos aquí un caso de schwannoma intrapulmonar diagnosticado mediante aspiración por punción transbronquial guiada con ecografía endobronquial.
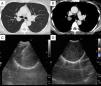
Presentación del casoUna mujer de 47años fue remitida a nuestro hospital para un estudio diagnóstico de un tumor pulmonar. Se le practicó una lobectomía derecha del tiroides a causa de un adenocarcinoma papilar de tiroides a los 45años de edad. La paciente estaba afebril y las constantes vitales eran normales. No había ganglios linfáticos palpables y la auscultación pulmonar fue normal. Los análisis de bioquímica y hematología fueron normales. La radiografía de tórax mostró un nódulo de 2cm en el campo pulmonar superior derecho. La TC de tórax (fig. 1A,B) reveló la presencia de un nódulo redondeado, bien definido, de 2,4cm en S2, adyacente al bronquio del lóbulo superior derecho. La broncoscopia mostró una lesión submucosa y el bronquio del lóbulo superior derecho estaba casi ocluido. La EBUS mostró un tumor hipoecogénico, bien definido, con una cápsula ecogénica y un refuerzo acústico posterior (fig. 1C,D). No se detectó una continuidad con el nervio. Se realizó una EBUS-TBNA, ya que podría haber resultado imposible obtener un diagnóstico histológico con una biopsia transbronquial. La muestra obtenida mediante EBUS-TBNA mostró áreas hipercelulares con proliferación de células fusiformes y área hipocelulares (fig. 2A,B). La inmunotinción para S-100 fue positiva (fig. 2C) y se confirmó un diagnóstico de schwannoma. No se utilizó una evaluación citológica rápida in situ. Se practicó a la paciente una tumorectomía porque existía la posibilidad de una neumonía obstructiva. El diagnóstico anatomopatológico de la pieza quirúrgica fue también de schwannoma.
En general, el diagnóstico anatomopatológico es importante para determinar el plan de tratamiento para los tumores pulmonares. Para obtener una muestra para el examen anatomopatológico se utiliza ampliamente la broncoscopia convencional. Pero es imposible biopsiar tumores intrapulmonares situados más allá del alcance de la broncoscopia convencional. En estos casos, la EBUS-TBNA es útil con frecuencia para establecer el diagnóstico. La EBUS-TBNA es una técnica relativamente segura, con una tasa de complicaciones del 1,23%1, y la sensibilidad y la especificidad de la EBUS-TBNA para el diagnóstico de las lesiones intrapulmonares son del 94,1 y del 94,3%2, respectivamente.
La tomografía de emisión de positrones (PET) con 2-desoxi-2-[18F]fluoro-D-glucosa (FDG) se utiliza ampliamente para identificar las lesiones malignas. Para las lesiones pulmonares, la sensibilidad y especificidad de la PET en el diagnóstico de las lesiones malignas es del 96,8 y del 77,8%, respectivamente3. Sin embargo, el schwannoma muestra una gran captación de FDG en algunos casos, aunque es un tumor benigno4. Así pues, es difícil diferenciar el schwannoma de los tumores malignos con PET. El schwannoma intrapulmonar se suele diagnosticar en el examen anatomopatológico postoperatorio. No se ha descrito ningún caso de schwannoma intrapulmonar diagnosticado mediante EBUS-TBNA. En nuestro caso, el schwannoma intrapulmonar se diagnosticó mediante EBUS-TBNA, y el diagnóstico anatomopatológico preoperatorio fue útil para realizar la tumorectomía. Así pues, la EBUS-TBNA podría ser útil para el diagnóstico del schwannoma intrapulmonar y para decidir el plan de tratamiento.
En la ecografía, el schwannoma es un tumor hipoecogénico bien definido5. En algunos casos se detecta también una cápsula ecogénica, un refuerzo acústico posterior y una continuidad del nervio5. Pero estas características son las propias del schwannoma situado en las extremidades y en la superficie del cuerpo. Que nosotros sepamos, no se ha descrito la identificación de un schwannoma intrapulmonar con ecografía endobronquial. En nuestro caso, la ecografía endobronquial mostró una masa capsulada hipoecogénica bien definida, con un refuerzo acústico posterior, aunque no se detectó una continuidad del nervio. Estas características podrían ser útiles para diagnosticar un tumor de origen nervioso en el pulmón.
En resumen, presentamos el primer caso de schwannoma intrapulmonar diagnosticado mediante EBUS-TBNA. La EBUS-TBNA y las observaciones realizadas con la ecografía endobronquial podrían ser útiles para el diagnóstico del schwannoma intrapulmonar.
Conflicto de interesesNinguno.
Los autores agradecen a la Sra. Yoriko Inoue su ayuda editorial.









