A 47-year-old woman was referred to our hospital for further examination of a lung tumor. CT of the chest revealed a round, well-defined 2.4-cm nodule in S2, adjacent to right superior lobe bronchus. Endobronchial ultrasonography showed a well-defined, hypoechoic tumor with echogenic capsule and posterior acoustic enhancement. Diagnosis of schwannoma was confirmed from the specimen obtained by endobronchial ultrasound-guided transbronchial needle aspiration. She underwent tumorectomy due to the possibility of obstructive pneumonia. Pathology diagnosis from the surgical specimen was also schwannoma. Endobronchial ultrasound-guided transbronchial needle aspiration and findings with endobronchial ultrasonography might be helpful in the diagnosis of intrapulmonary schwannoma.
Una mujer de 47 años fue remitida a nuestro hospital para un estudio diagnóstico de un tumor pulmonar. La TC de tórax reveló la presencia de un nódulo redondeado, bien definido, de 2,4cm en S2, adyacente al bronquio del lóbulo superior derecho. La ecografía endobronquial mostró un tumor hipoecogénico, bien definido, con una cápsula ecogénica y un refuerzo acústico posterior. El diagnóstico de schwannoma se confirmó con el material obtenido mediante aspiración por punción transbronquial guiada con ecografía endobronquial. Se practicó a la paciente una tumorectomía porque existía la posibilidad de una neumonía obstructiva. El diagnóstico anatomopatológico de la pieza quirúrgica fue también de schwannoma. La aspiración por punción transbronquial guiada con ecografía endobronquial y los resultados de la ecografía endobronquial podrían ser útiles para el diagnóstico de un schwannoma intrapulmonar.
Intrapulmonary schwannoma is a rare tumor that is usually diagnosed by postoperative pathological examination. We present a case of intrapulmonary schwannoma diagnosed by endobronchial ultrasound-guided transbronchial needle aspiration (EBUS-TBNA).
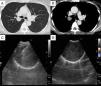
Case PresentationA 47-year-old woman was referred to our hospital for diagnostic testing of a lung tumor. She had undergone right thyroid lobectomy for papillary thyroid adenocarcinoma two years previously. The patient was afebrile with no palpable lymph nodes, and her vital signs and pulmonary auscultation were normal. Biochemistry and hematology tests were unremarkable. Chest X-ray showed a 2-cm nodule in the upper right lung field. Chest computed tomography (CT) (Fig. 1A and B) revealed a round, well-defined 2.4-cm nodule in S2, adjacent to the right upper lobe bronchus. A sub-mucosal lesion and almost complete occlusion of the right upper lobe bronchus were identified on bronchscopy. EBUS showed a well-defined hypoechoic tumor, with an echogenic capsule and posterior acoustic enhancement (Fig. 1C and D). Nerve continuity was not detected. EBUS-TBNA was performed, as a histological diagnosis may have been difficult to obtain with transbronchial biopsy. The EBUS-TBNA sample showed hypercellular areas with proliferation of fusiform cells and hypocellular areas (Fig. 2A and B). Immunostaining for S-100 was positive (Fig. 2C), and a diagnosis of schwannoma was confirmed. Rapid on-site cytologic evaluation was not performed. The patient underwent tumorectomy due to the possibility of obstructive pneumonia. Pathological examination of the surgical specimen further supported the diagnosis of schwannoma.
Pathological diagnosis is generally important in choosing the treatment plan for lung tumors. Conventional bronchoscopy is extensively used to obtain samples for pathological examination, but it is impossible to biopsy intrapulmonary tumors situated beyond the reach of the bronchoscope. In these cases EBUS-TBNA, a relatively safe technique with a complication rate of 1.23% is often useful for establishing the diagnosis.1 Moreover, its sensitivity and specificity for the diagnosis of intrapulmonary lesions are 94.1% and 94.3%,2 respectively.
Positron emission tomography (PET) with 2-deoxy-2-[18F]fluoro-d-glucose (FDG) is widely used to identify malignant lesions, with a sensitivity and specificity of 96.8% and 77.8%, respectively.3 However, schwannoma shows a high level of FDG uptake in some cases, although it is a benign tumor,4 making it difficult to differentiate it from malignant tumors using PET. Intrapulmonary schwannoma is usually diagnosed by postoperative pathological examination; no cases of intrapulmonary schwannoma diagnosed by EBUS-TBNA have been described. In our patient however, this procedure facilitated diagnosis, while preoperative pathological diagnosis was useful for performing the tumorectomy. EBUS-TBNA might therefore be helpful for the diagnosis of intrapulmonary schwannoma and for establishing the treatment plan.
On ultrasound, schwannoma is a well-defined hypoechogenic tumor.5 In some cases an echogenic capsule, posterior acoustic enhancement and nerve continuity are also detected.5 However, these characteristics are typical of schwannoma located in the limbs or near the surface of the body. As far as we know, identification of an intrapulmonary schwannoma with endobronchial ultrasound has not hitherto been described. In our case, it showed a well-defined hypoechogenic encapsulated mass, with posterior acoustic enhancement, although nerve continuity was not detected. These characteristics could be useful for diagnosing a tumor of nerve origin in the lung.
In summary, we present the first case of intrapulmonary schwannoma diagnosed by EBUS-TBNA. This procedure together with endobronchial ultrasound findings might be helpful for the diagnosis of intrapulmonary schwannoma.
Conflict of InterestNone.
Authors thank to Ms. Yoriko Inoue for her editorial support.
Please cite this article as: Watanabe K, Shinkai M, Shinoda M, Ishigatsubo Y, Kaneko T. Un caso de schwannoma intrapulmonar diagnosticado mediante aspiración por punción transbronquial guiada con ecografía endobronquial. Arch Bronconeumol. 2014;50:490–492.
 
										
				





 
 
		




