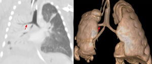
A 41-day-old boy with history of corrected esophageal atresia (EA) with distal fistula at 4th day of life and tracheomalacia, presented a second episode of pneumonia. Computerized tomography (CT) (Fig. 1) followed by virtual bronchoscopy, revealed consolidation in the right lung and an anomaly of the bronchial segmentation, with the right upper lobe's bronchus originating directly from the trachea. The patient was discharged from the hospital following medical treatment. Afterwards, he had two more episodes of pneumonia, however, now he has remained clinically stable for almost two years.
Tracheal trifurcation is an uncommon condition, with an incidence up to 2%.1 Patients can be asymptomatic or present recurrent right-sided pneumonia or atelectasis. Expectant management is preferred, however, in recurrence of symptoms, surgical excision of the involved segment may be necessary.2
Tracheal bronchus (TB) may be associated with EA and significant risks during tracheal intubation.
Flexible bronchoscopy provides a clear view of the anomaly and CT or virtual bronchoscopy allows noninvasive diagnosis. Therefore, flexible bronchoscopy or CT during childhood is proposed for all patients with EA, in order to rule out associated tracheomalacia and TB, and the presence of TB should be considered in child being evaluated for recurrent right-sided pneumonia.
AuthorshipDaniela Barros conceived the design of this study, collected the data and drafted the article.
Gisela Rio collected the data and collaborated in the analysis.
Vasco Mendes reviewed the article critically giving the final approval of the version to be submitted.
All the authors contributed to the interpretation of the results and the proof reading of the manuscript.








