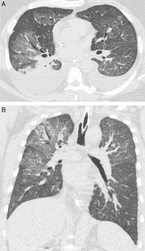
Hemos realizado una revisión retrospectiva de las historias clínicas de 8 pacientes adultos con síndrome pulmonar por Hantavirus (SPH) confirmado, con el fin de describir los hallazgos en las pruebas de tomografía axial computarizada de alta resolución (TACAR). Los pacientes fueron atendidos en 6 hospitales terciarios de Brasil entre los años 2003-2014. Los diagnósticos de SPH estuvieron basados en la historia clínica, el curso clínico y los hallazgos en las pruebas de imagen de cada paciente. Las pruebas serológicas (ELISA) de todos los pacientes mostraron resultados positivos para Hantavirus. Aunque las características observadas en la TACAR de la infección por Hantavirus del Viejo Mundo son bien conocidas, no conocemos ningún estudio que haya analizado los hallazgos en la TACAR en pacientes con SPH. En nuestro estudio, las características principales de la TACAR fueron la presencia de opacidades en vidrio esmerilado (OVE) y de un ligero engrosamiento de los septos interlobulares, que se observaron en todos los pacientes (fig. 1). Sin embargo, el patrón en adoquín desordenado solo se observó en 3 casos. Se detectó derrame pleural y engrosamiento peribroncovascular en 5 casos. Cuatro pacientes presentaban nódulos pequeños, y solo uno mostró focos de consolidación. Las anomalías fueron bilaterales y difusas en todos los casos.
El SPH es una zoonosis emergente causada por Hantavirus, un virus RNA monocatenario, esférico y dotado de cubierta que pertenece a la familia Bunyaviridae. En América, los reservorios naturales de este virus son los roedores de la subfamilia Sigmodontinae1,2. El género Hantavirus comprende varios virus que se clasifican en 2 grupos, cada uno de los cuales se asocia a un síndrome clínico diferente: los Hantavirus del Viejo Mundo, que causan fiebre hemorrágica con síndrome renal (FHSR) o nefropatía epidémica; y los Hantavirus del Nuevo Mundo, relacionados con el SPH1,3. El SPH fue la primera entidad clínica reconocida en los Estados Unidos, en 1993. En promedio, cada año se notifican unos 200 casos de SPH en América y, a pesar de que el número de casos es muy inferior al de la FHSR, la tasa de mortalidad media es de un 40%4.
Ambos síndromes afectan sobre todo a varones adultos jóvenes y su transmisión está relacionada con la actividad profesional, como ocurre en veterinarios, granjeros y otras profesiones relacionadas1. El Hantavirus se transmite al ser humano por inhalación de partículas víricas nebulizadas provenientes de la orina, la saliva o de los excrementos secos de roedores reservorio. Se han notificado pocos casos de transmisión entre personas, los cuales han estado generalmente asociados a una cepa concreta, el virus Andes5.
La presentación clínica del SPH suele ser inespecífica y en la mayoría de los casos se observan manifestaciones de tipo gripal. La tos (que al comienzo no es productiva) suele indicar la transición a la fase cardiopulmonar, durante la cual aparece un síndrome de filtración capilar fulminante que puede causar edema pulmonar y choque de evolución rápida5. Las manifestaciones clínicas se observan tras un período de incubación de unas 2-3 semanas y habitualmente comprenden 3 fases bien delimitadas. La fase prodrómica se caracteriza por manifestaciones gripales inespecíficas entre 2-5 días de duración. La fase cardiopulmonar suele comenzar con tos seca que se convierte en productiva en poco tiempo, expectoración mucosanguinolenta, insuficiencia respiratoria y choque cardiovascular. Durante esta fase, los resultados analíticos muestran marcada leucocitosis con desviación a la izquierda, trombocitopenia, concentraciones séricas elevadas de lactato deshidrogenasa y aspartato aminotransferasa, hemoconcentración e hipoalbuminemia debida a la filtración capilar1–3,5. La fase de convalecencia se distingue por mejorías en la oxigenación y la diuresis, y estabilización hemodinámica. A pesar de que se puede hacer un diagnóstico de presunción basado en la historia clínica del paciente y los hallazgos radiológicos, la confirmación del diagnóstico requiere pruebas diagnósticas específicas, como pruebas serológicas (ELISA), de transcripción inversa y/o PCR. En nuestra muestra, los resultados del ELISA fueron positivos para Hantavirus en todos los casos1,3.
Para concluir, los hallazgos predominantes en la TACAR de pacientes con SPH fueron las OVE y un ligero engrosamiento septal. Estos hallazgos son de gran ayuda para el diagnóstico en un entorno clínico adecuado. El derrame pleural y el engrosamiento peribroncovascular también son hallazgos frecuentes, aunque menos característicos.








