Pulmonary hypertension (PH) in patients with asthma is a rare finding and often indicates the presence of additional comorbidities [1].
A 53-year-old woman with no relevant past medical history presented with new-onset exertional dyspnea. She was subsequently diagnosed with Scimitar syndrome during a cardiology evaluation. This congenital anomaly is characterized by abnormal drainage of the right pulmonary veins into the inferior vena cava, an ostium secundum atrial septal defect, along with hypoplasia of the right lung. Surgical correction was performed using a pericardial patch conduit to redirect the anomalous pulmonary venous drainage to the left atrium through the atrial septal defect.
Despite technically successful surgery, the patient continued to experience exertional dyspnea, productive cough, wheezing and 1 exacerbation per year that required systemic corticosteroids, leading to suspicion of asthma. Since bronchodilation test came out positive (increase in FEV1 by 230mL and 24% of pre-bronchodilator value), inhaled corticosteroids plus long-acting beta 2 agonists were started. Over time, symptoms and exacerbations decreased, FEV1 increased from 46% to 63% of the predicted value, with a negative bronchodilator test and low fractional exhaled nitric oxide (15ppb). However, dyspnea increased from mMRC grade 1 to grade 3 at the 10-year follow-up, being therefore referred to the specialized asthma clinic for further evaluation and management while receiving triple inhaled therapy with high-dose inhaled corticosteroids.
Additional pulmonary function tests revealed mild restriction (total lung capacity 77% of predicted value), severe diffusion impairment (41% of predicted value) and oxygen desaturation from 93% to 84% during the 6-minute walk test.
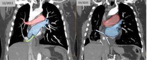
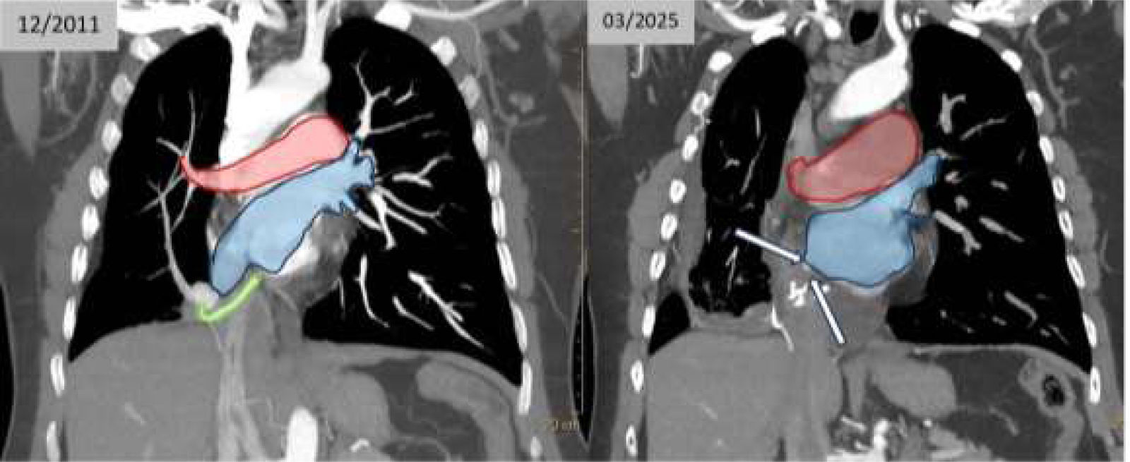
Serial echocardiography demonstrated a progressive increase in estimated systolic pulmonary arterial pressure (from 36mmHg to 54mmHg in 4 years), with indirect signs of PH and no significant intracardiac shunt. Right heart catheterization confirmed PH, with mean pulmonary arterial pressure 34mmHg, pulmonary vascular resistance of 4.5 Wood Unit and pulmonary capillary wedge pressure of 10mmHg (left) and 19mmHg (right), which are findings consistent with group 1 PH [2]. Contrast-enhanced chest CT scan demonstrated the complete occlusion of the right pulmonary venous drainage (Fig. 1).
Contrast-enhanced chest CT scan demonstrating right pulmonary venous drainage correction through pericardial patch (first image) and its complete occlusion (second image). Red: left circulation; Blue: right circulation; Green: pericardial patch conduit connecting to the left atrium via the atrial septal defect.
Scimitar syndrome is a rare and complex constellation of cardiopulmonary anatomical abnormalities [3]. Its clinical presentation is heterogeneous and depends on the severity of the anatomical abnormalities, the age at diagnosis and other existing congenital conditions [3]. In late onset presentation it is often detected incidentally, either through unexplained right heart dilation, recurrent pulmonary infections, or during the evaluation of unexplained dyspnea [3]. PH commonly develops in patients with a significant shunt [4]. Furthermore, between 16% and 33% of patients who undergo surgical correction experience long-term drainage obstruction [5].
In this patient, the suspected postoperative complication was due to dyspnea disproportionate to the severity of her asthma and the progressive development of indirect signs of PH. This case highlights the importance of performing additional research to rule out other causes of dyspnea in patients with asthma and disproportionate symptoms, such as PH.
CRediT authorship contribution statementCSC, MJG and RMDC contributed to data acquisition, drafting and manuscript review. All authors approved the final version of the article.
Ethical considerationswe declare compliance with all ethical regulations. There were no changes to standard clinical practice in this case.
Informed consentinformed consent given by the patient prior to publication.
Declaration of generative AI and AI-assisted technologies in the writing processThe authors declare not to have used any artificial intelligence tool.
FundingNone declared.
Conflicts of interestNone declared.







