Las bullas pulmonares se definen como espacios aéreos mayores de 1cm de diámetro, que carecen de pared epitelial. Pueden aparecer en el parénquima pulmonar normal o, más frecuentemente, en el contexto de un enfisema generalizado. La evolución natural de las bullas pulmonares se caracteriza por un crecimiento progresivo, aunque no es infrecuente que presenten largos periodos de estabilidad. La regresión espontánea, por otro lado, es inusual1.
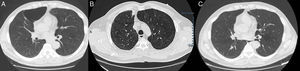
Presentamos el caso de un varón de 55 años de edad, exfumador desde hace 16 años de 50 paquetes/año, que acude a nuestro centro en junio de 2012 por presentar tos, expectoración diaria y disnea grado 1 de la MRC, sin exacerbaciones relevantes. Las pruebas de función pulmonar revelaron un patrón obstructivo en grado moderado, con una capacidad vital forzada (FVC) de 4.890cc (106%), un volumen espiratorio forzado en un segundo (FEV1) de 2.740cc (74%), una relación FEV1/FVC del 56% y una difusión de monóxido de carbono (DLCO) normal. La tomografía computarizada (TC) mostró un severo enfisema mixto de tipo centrolobulillar y paraseptal pulmonar bilateral, con afectación predominante de los lóbulos superiores, donde existían francas zonas de destrucción parenquimatosa pulmonar y una gran bulla de enfisema paraseptal a nivel del segmento anterior del lóbulo superior derecho (LSD) con un diámetro máximo de 9cm (fig. 1). Ante estos hallazgos y la persistencia de la sintomatología se propuso, al paciente, bullectomía quirúrgica que rechazó.
En noviembre de 2015 se realiza una TC de tórax de control donde se objetiva una imagen nodular de límites discretamente espiculados a nivel del LSD en situación paramediastínica en íntima relación con la grasa de la línea de reflexión pleural anterior, cuyas medias eran en el plano axial de 18×21mm de diámetro anteroposterior y transverso, y una longitud de 4cm medido en el plano sagital. Se seguían observando amplias zonas de destrucción pulmonar a nivel parenquimatoso en relación con el patrón de enfisema que predominaba a nivel de los lóbulos superiores y llamaba la atención la desaparición de la gran bulla a nivel del segmento anterior del LSD (fig. 1). Debido a la sospecha de un nódulo pulmonar solitario de naturaleza maligna se solicita una tomografía por emisión de positrones (PET) que mostró una lesión pulmonar moderadamente hipermetabólica en LSD compatible con malignidad, por lo que se decide extirpación quirúrgica de la lesión. Mediante cirugía torácica video asistida se realiza una resección en cuña, cuya anatomía patológica resultó ser un nódulo pulmonar esclerótico residual, compatible con hemangioma cavernoso trombosado y organizado con calcificación distrófica. En las pruebas funcionales respiratorias posteriores, la espirometría no mostró mejoría tras la desaparición de la bulla con una FVC de 4.600cc (100%), un FEV1 de 2.690cc (74%) y una relación FEV1/FVC del 58%.
Como ya hemos mencionado, la evolución natural de las bullas es el crecimiento progresivo, llegando a formar incluso bullas gigantes que provocan el colapso del parénquima adyacente2. El tratamiento de elección es la cirugía, que ha demostrado mejorar la disnea, el intercambio gaseoso, la función pulmonar y la capacidad de ejercicio3. Existen contados casos de regresión espontánea de una bulla enfisematosa, el primero de ellos probablemente sea el de Douglas y Grant en 19574. La mayoría de las veces, el proceso viene precedido por una clínica compatible con una infección respiratoria que se manifiesta con tos, expectoración, y suele apreciarse una condensación parenquimatosa periampollosa y un nivel hidroaéreo dentro de la bulla. La resolución radiológica de los niveles hidroaéreos suele ser muy lenta, con una media superior a los 70 días, sin que el uso de antibióticos influya en el tiempo de resolución, por lo que no se recomienda su utilización sistemática en los pacientes asintomáticos5–7. El mecanismo por el cual se produce este proceso es desconocido, aunque la mayor parte de los autores sugieren que se debe a una obstrucción del bronquio por exudado e inflamación, con posterior reabsorción del contenido hidroaéreo8, o bien a un proceso inflamatorio dentro de la bulla con sellado de la misma2. A pesar de que en la mayoría de los casos se ha descrito una mejoría de la función pulmonar9, es posible que esto no suceda, como describen Wahbi y Arnold en 199610, y tal como ocurre en nuestro paciente, pudiendo estar relacionado con el tamaño de la bulla.
En nuestro caso, el mecanismo subyacente de la resolución de la bulla no queda claro, no habiéndose evidenciado en ningún momento signos inflamatorios en la TC realizada, ni en radiografías de tórax previas, lo que convierte en inusual este caso debido a que se trata de una regresión totalmente asintomática y en ausencia de una infección o un tumor. El hallazgo del hemangioma cavernoso fue incidental, y no pensamos que tenga ninguna relación con la desaparición de la bulla.
 
										
				



 
 
		




