El quilotórax, un derrame pleural rico en quilomicrones y triglicéridos, suele ser secundario a complicaciones quirúrgicas (esofagectomías, resecciones pulmonares), linfomas o cirrosis hepática, entre otras causas1. Raramente aparece de forma espontánea relacionado con traumatismos que se consideran «triviales». El único caso de quilotórax atribuible a estornudos publicado hasta la fecha tuvo una resolución rápida en pocos días2. Presentamos otro caso similar cuya evolución, sin embargo, no resultó tan favorable y precisó de diversas técnicas terapéuticas intervencionistas.
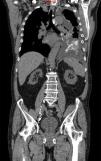
Un varón de 71 años consultó por disnea progresiva de dos semanas de evolución, sin síntomas generales, ortopnea, fiebre ni traumatismo previo. Entre sus antecedentes destacaban hipertensión arterial, fibrilación auricular no valvular permanente y un recambio valvular aórtico con prótesis mecánica realizado ocho años antes. Seguía tratamiento con acenocumarol. En la radiografía de tórax se observó un derrame pleural izquierdo que ocupaba la mitad del hemitórax. Una toracocentesis mostró un líquido lechoso con las siguientes características: leucocitos 1.875/μL (95% de linfocitos), proteínas 3,8 g/dL (suero 6,91 g/dL), lactato deshidrogenasa 373 U/L (suero 685 U/L), triglicéridos 1.203 mg/dL (suero 93 mg/dL), colesterol 62 mg/dL (suero 197 mg/dL), citometría de flujo normal y estudios citológicos negativos para malignidad. Una tomografía computarizada toracoabdominal sólo objetivó el derrame pleural izquierdo sin engrosamientos pleurales ni adenomegalias. Una linfangiografía intranodal evidenció una extravasación del material de contraste (lipiodol) hacia la cavidad pleural izquierda (fig. 1). Al re-interrogatorio dirigido, el paciente refirió varios accesos de estornudos intensos durante los días previos a la aparición de los síntomas actuales, extremo que confirmó su esposa. El paciente requirió dos toracocentesis terapéuticas de 1 L y 1,25 L en el trascurso de dos semanas, por lo que se insertó un catéter pleural tunelizado (CPT) para drenaje controlado en domicilio. Después de dos semanas de vaciamiento intensivo (diario) a través del CPT y tras confirmarse la re-expansión pulmonar radiológica, se instilaron 4 g de talco en solución (slurry) a través del CPT. Simultáneamente se recomendó restricción de dietas grasas y se prescribió octeótride (50 mcg/12 h sc), que se mantuvo durante seis semanas. Pasadas 10 semanas desde la instilación del talco a través del CPT y tras tres drenajes sucesivos inferiores a 50 mL se retiró el CPT. No se ha observado recidiva radiológica del derrame después de un año de seguimiento.
Este sería el segundo caso de quilotórax inducido por estornudos descrito en la literatura médica, según una búsqueda en la base de datos PubMed desde su comienzo hasta el 16 de noviembre de 2020, utilizando los términos «chylothorax or thoracic duct leak» y «sneeze or sneezing». El caso reportado previamente fue el de una mujer de 60 años que desarrolló un quilotórax bilateral después de un estornudo intenso2. Junto a una restricción dietética de las grasas, la paciente requirió la colocación de tubos endopleurales, uno en cada hemitórax, que pudieron retirarse a los dos y cinco días, respectivamente. Se confirmó la ausencia de derrame en una radiografía de control a los tres meses. Debido a la rápida resolución del proceso en menos de una semana con el tratamiento descrito, se consideró que el quilotórax por estornudo era una entidad de buen pronóstico2. Sin embargo, en el caso que describimos se requirieron tres meses y medio de procedimientos sucesivos y simultáneos (toracocentesis terapéuticas, dieta hipograsa y octeótride, inserción de un CPT, pleurodesis con talco) para solucionar definitivamente el quilotórax. La linfangiografía, que por sí misma puede reducir la fuga de quilo en algunos pacientes, no tuvo tal efecto en el nuestro. Por consiguiente, no podemos afirmar que un tratamiento estrictamente conservador sea capaz de resolver todos los casos de esta rara entidad. La localización izquierda del quilotórax nos indica que el conducto torácico se debió dañar por encima de la quinta o sexta vértebra torácicas. Hipotéticamente, la patogénesis del quilotórax sería el aumento agudo e intenso de la presión intratorácica durante el estornudo, que conllevaría una microrrotura del conducto torácico y la fuga correspondiente de quilo hacia el espacio pleural. En la literatura médica se han descrito casos de quilotórax espontáneos «idiopáticos», algunos de los cuales finalmente se atribuyeron, por su relación temporal y exclusión de otras causas, a actividad física3, tos enérgica4, o el esfuerzo del parto5; circunstancias cuyo nexo común es también un aumento de la presión intratorácica. El caso expuesto es otro ejemplo de que una anamnesis minuciosa puede ser la clave para orientar la etiología de un quilotórax de origen aparentemente incierto. Por otro lado, debido a la excepcionalidad de la asociación entre estornudo y quilotórax no es posible inferir una evolución uniforme para estos casos.
 
										
				



 
 
		




