Suggestions
Share
Journal Information
Clinical Image
Full text access
Pre-proof, online 22 December 2025
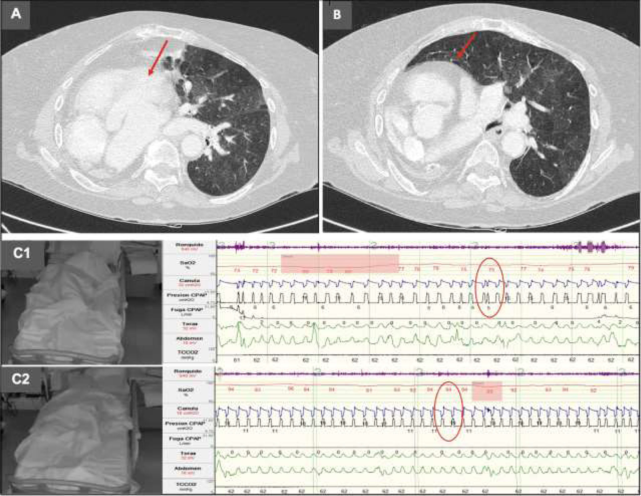
Pulmonary hypoplasia and congenital dextrocardia presenting with hypercapnia in advanced age
Visits
147
Mónica Matute-Villacís1,
Corresponding author
mcmatutev@gmail.com

Corresponding author:
, Macarena Lovera2, Adriana Martín Pascual3
1 Specialist in Pulmonology – Intermediate Respiratory Care Unit (UCRI), Hospital Universitari Germans Trias i Pujol. Germans Trias i Pujol Research Institute, Barcelona, Spain
2 Resident in Pulmonology, Hospital Universitari Germans Trias i Pujol, Barcelona, Spain
3 Respiratory Physiotherapy, Department of Pulmonology, Hospital Universitari Germans Trias i Pujol, Barcelona, Spain
This item has received
Archivos de Bronconeumología
Article options
Tools