El cáncer colorrectal constituye una de las neoplasias más frecuentes en los países desarrollados, y es el pulmón uno de los órganos más afectados por su diseminación metastásica. Se han publicado casos donde dicha afectación metastásica pulmonar de origen colorrectal coexiste simultáneamente con un cáncer primario.
Presentamos el caso de un varón de 65 años diagnosticado de adenocarcinoma colorrectal, al que se realizó en 2007 una resección anterior baja. En una tomografía computarizada de control se detectó el crecimiento de un nódulo pulmonar catalogado como metástasis de la neoplasia. Remitido a nuestro Servicio de Cirugía Torácica, se procedió a su resección. El estudio anatomopatológico demostró que se trataba de un nódulo pulmonar neoplásico, en el que se diferenciaba tanto histológica como inmunohistoquímicamente una metástasis de adenocarcinoma de colon sobre un adenocarcinoma pulmonar. Dos de las adenopatías aisladas aparecían metastatizadas por adenocarcinoma, una con rasgos idénticos al componente enteroide y otra al componente pulmonar.
The lung is the most common site for metastasis from colorectal cancer, which is among the most common neoplasms in developed countries. Simultaneous occurrence of pulmonary metastasis of colorectal origin and primary carcinoma has been reported.
We describe the case of a 65-year-old man who underwent low anterior resection for colorectal adenocarcinoma in 2007. Follow-up computed tomography revealed a pulmonary nodule that was classified as metastatic. The patient was referred to our thoracic surgery department, where the nodule was resected. The pathology confirmed that the nodule was neoplastic, and histologic and immunohistochemical examination showed the presence of colorectal metastasis and lung adenocarcinoma. Evidence of metastasis was also found in 2 of the lymph nodes analyzed, 1 with features identical to the primary pulmonary adenocarcinoma, and 1 with features identical to the colorectal metastasis.
El pulmón es uno de los órganos más afectados por la diseminación metastásica del cáncer colorrectal1. En la literatura se han descrito casos en que coexisten de forma simultánea e independiente una neoplasia pulmonar primaria y una neoplasia pulmonar secundaria de origen colorrectal2.
A continuación presentamos el caso de un varón de 65 años con antecedentes de adenocarcinoma de colon, que fue remitido a nuestro Servicio de Cirugía Torácica para la valoración de un nódulo pulmonar metastásico.
Observación clínicaVarón de 65 años, diagnosticado de adenocarcinoma de colon grado II (pT3 pN1), al que se realizó en diciembre de 2007 una resección anterior baja más resección segmentaria de intestino delgado, junto con poliquimioterapia adyuvante tipo FOLFOX-6. En un control radiológico realizado 9 meses más tarde se detectó el crecimiento de un nódulo pulmonar, por lo que se remitió al paciente a nuestro Servicio de Cirugía Torácica.
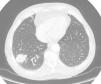
La tomografía computarizada objetivaba la presencia de un nódulo cavitado de 3,8cm de diámetro, de densidad heterogénea, en el lóbulo inferior derecho, el cual entraba en contacto con la pleura, además de adenopatías paratraqueales derechas en el límite alto de la normalidad (fig. 1). La fibrobroncoscopia resultó ser negativa para malignidad, mientras que la punción aspirativa con aguja fina (PAAF) confirmó la presencia de células metastásicas de adenocarcinoma de colon. La tomografía por emisión de positrones mostraba un área con actividad metabólica elevada e irregular, de unos 3cm de diámetro, localizada en la periferia de la región basal del campo pulmonar derecho, así como una actividad difusamente aumentada en las regiones hiliares, indicativa de focos inflamatorios mal definidos. El resto de la captación de fluoro-2-desoxiglucosa en otras zonas carecía de significación patológica, a excepción de un pequeño foco situado en la región prostática.
En enero de 2009 se decidió intervenir quirúrgicamente al paciente mediante una toracotomía posterolateral derecha a través del quinto espacio intercostal, procediéndose a la realización de una lobectomía inferior derecha. La evolución postoperatoria fue satisfactoria, con excepción de un íleo paralítico que se resolvió de manera conservadora. El paciente recibió el alta 7 días después de la cirugía.
Los resultados definitivos de la anatomía patológica revelaron la presencia de una neoplasia maligna con diferenciación glandular, en la que se diferenciaban claramente 2 zonas: una central, con extensas áreas quistificadas y focos de necrosis, constituida por glándulas tapizadas por un epitelio seudoestratificado con un claro aspecto enteroide; esta zona continuaba a través de un límite mal definido con una zona tumoral periférica, formada por extensas áreas de tipo bronquioloalveolar con carácter infiltrante e invasión pleural. En esta zona periférica las células tumorales mostraban un aspecto más poligonal, con amplio citoplasma eosinófilo, núcleos redondeados y nucléolos prominentes, todos ellos rasgos más propios de un adenocarcinoma pulmonar convencional.
Desde el punto de vista inmunhistoquímico, ambas regiones tumorales presentaban un perfil claramente diferenciado. La zona de tipo enteroide mostraba un perfil de expresión negativo para citoqueratina (CK) 7 y positivo para CK20, y no expresaba ni el factor 1 de transcripción tiroidea (TTF-1) ni CK5 ni P63, mientras que la zona de tipo pulmonar mostraba un perfil CK7 positivo y CK20 negativo, y sí expresaba TTF-1.
De las adenopatías aisladas alrededor del margen bronquial de la pieza, 2 aparecían metastatizadas por adenocarcinoma, una de ellas con rasgos morfológicos e inmunohistoquímicos idénticos al componente tipo enteroide, y la otra idéntica al componente tipo pulmonar.
En conclusión, nos encontramos ante el excepcional hallazgo de un nódulo pulmonar neoplásico en el que coexistían un adenocarcinoma metastásico de colon y un adenocarcinoma pulmonar primario.
DiscusiónEl cáncer colorrectal es una de las neoplasias más frecuentes en los países desarrollados. La American Cancer Society3 estimó que en 2008 unos 148.810 estadounidenses serían diagnosticados de cáncer colorrectal, y que alrededor de 49.960 morirían a causa de esta enfermedad.
El pulmón es, junto con el hígado, uno de los órganos más afectados por la diseminación metastásica de este tipo de neoplasia, que llega a afectar a un 10–25% de los pacientes1. Revisando la literatura encontramos determinados casos, raros y poco habituales, en que dicha afectación metastásica pulmonar de origen colorrectal coexiste de manera independiente y simultánea con un cáncer pulmonar primario2. Lo verdaderamente excepcional de nuestro caso es que este sincronismo tiene lugar dentro de un mismo nódulo neoplásico, no habiendo referencias escritas previas de tal relación.
Debido a la escasa prevalencia y al bajo índice de sospecha de tal hallazgo, el diagnóstico preoperatorio no es sencillo. La tomografía computarizada mostraba un nódulo de densidad heterogénea en el lóbulo inferior derecho, que posteriormente la PAAF catalogó como adenocarcinoma metastásico de colon. Sin embargo, al revisar después las imágenes radiológicas sí se apreciaban unos bordes nodulares espiculados que dibujaban el típico signo en sol naciente, más indicativo de un proceso neoplásico primario, el cual no se identificó mediante la PAAF, así como las adenopatías halladas intraoperatoriamente (fig. 2). La rentabilidad de la PAAF para obtener el diagnóstico positivo de malignidad en nódulos periféricos de 2cm oscila entre el 80 y el 90%4. A pesar de ello, el resultado de la biopsia obtenida no fue del todo acertado. Por lo tanto, ante toda sospecha de este tipo de lesiones neoplásicas, sería conveniente tomar suficientes muestras representativas de diferentes áreas del nódulo pulmonar.
El estudio anatomopatológico de la pieza quirúrgica resecada fue el que proporcionó el diagnóstico definitivo de nuestro paciente. Mostraba el excepcional hallazgo de una metástasis de adenocarcinoma de colon sobre un adenocarcinoma pulmonar bien diferenciado, así como 2 adenopatías infiltradas cada una por uno de los 2 tipos histológicos descritos. El estudio inmunohistoquímico de la lesión también ayuda a discernir entre tumores pulmonares primarios y secundarios, con la consiguiente repercusión pronóstica y terapéutica que esto tiene. Así, el adenocarcinoma pulmonar primario suele presentar un patrón inmunohistoquímico con expresión positiva para CK7, negativa para CK20 y positiva para TTF-1, mientras que el adenocarcinoma pulmonar metastático de origen colorrectal es más frecuente que sea CK7 negativo, CK20 positivo y TTF-1 negativo5–7. En nuestro caso, ambos fenotipos inmunohistoquímicos estaban presentes.
Actualmente el tratamiento de elección de los nódulos pulmonares metastásicos únicos es la resección quirúrgica1,8–11. Ésta deberá llevarse a cabo preservando el máximo de parénquima pulmonar sano posible, ante la posibilidad de realizar reintervenciones posteriores si fuese necesario. Por lo tanto, en este tipo de neoplasias secundarias se debe plantear la segmentectomía como primera opción quirúrgica. Sin embargo, el hecho de que durante la cirugía encontráramos adenopatías infiltradas en el hilio lobular nos llevó a considerar la lobectomía inferior derecha como una mejor opción quirúrgica. El hallazgo intraoperatorio de adenopatías se relaciona de forma negativa con la supervivencia, pero los resultados de la cirugía parecen mejores que los de la quimioterapia como único tratamiento12. La importancia del diagnóstico preoperatorio de este tipo de neoplasias combinadas es fundamental de cara al tratamiento. Por ello, si hubiéramos conocido antes de la intervención quirúrgica que se trataba de un nódulo en el que existía además una neoplasia pulmonar primaria, nos hubiéramos decantado por la lobectomía desde el primer momento, descartando de entrada la segmentectomía.
En conclusión, la presencia de un adenocarcinoma pulmonar primario y un adenocarcinoma pulmonar metastásico de origen colorrectal dentro de un mismo nódulo es un hallazgo histológico excepcional. Es importante un correcto diagnóstico preoperatorio por las repercusiones terapéuticas y pronósticas que esto tiene.









