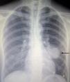
Se trata de una paciente de 41 años de edad, de nacionalidad china, que tras un cuadro de tos seca comienza de forma aguda con dolor torácico1 izquierdo y disnea de esfuerzo. Ante dicha clínica acude a urgencias, donde se realiza radiografía de tórax, que revela la presencia de una masa pulmonar infrahiliar izquierda (fig. 1). La PET-TC muestra una masa infrahiliar de 59×42×50mm (fig. 2) y 7 nódulos pulmonares de entre 1 y 12mm. Ni la masa ni los nódulos presentan actividad metabólica incrementada. Se procede a exéresis íntegra de la masa por neumotomía. Como complicación aislada presentó hemotórax en el postoperatorio y fue necesaria una reintervención quirúrgica, con evolución posterior satisfactoria, y pudo ser dada de alta a domicilio a las 72h de la primera intervención. La histología confirma un neumocitoma de 65mm de diámetro máximo, de patrón mixto, con predominio sólido con áreas pseudopapilares, con ausencia de atipia, mitosis o necrosis2. Fueron necesarias 2 intervenciones quirúrgicas para resecar la totalidad de los neumocitomas, pues presentaba, además del descrito, otros 7 neumocitomas, de menor tamaño, de entre 1 y 12mm, distribuidos en el lóbulo inferior izquierdo, el lóbulo superior izquierdo y el lóbulo inferior derecho.
El neumocitoma, antes denominado hemangioma esclerosante pulmonar, es una neoplasia benigna de pulmón, descrita por primera vez en 1956 por Liebow y Hubbel3. A lo largo de la historia, debido a la discusión sobre su histogénesis, ha recibido numerosas denominaciones, entre otras hemangioma esclerosante pulmonar3, histiocitoma pulmonar benigno y pseudotumor xantomatoso2,4. Hoy en día, el estudio ultraestructural y las técnicas inmunohistoquímicas hacen pensar que estamos ante un tumor epitelial con diferenciación hacia neumocitos tipoii2,4,5, de ahí el nombre de neumocitoma. Los primeros que acuñaron el término neumocitoma fueron, en 1986, Tanaka et al6.
El neumocitoma puede presentar 4 patrones histológicos distintos: papilar, sólido, esclerótico y hemorrágico5. Debido a esta compleja histología, el diagnóstico diferencial se plantea con adenocarcinoma bronquioloalveolar, carcinoide, adenoma papilar, angiosarcoma y mesotelioma4,5; algunas de estas son patologías de mal pronóstico que requieren un tratamiento radical, por lo que es necesario un diagnóstico histológico correcto, ya que su extirpación quirúrgica es curativa.
El neumocitoma es un tumor benigno de baja prevalencia que se observa sobre todo en mujeres y en la raza asiática. La edad media de aparición es de 46 años. La forma de presentación más frecuente es como nódulo pulmonar solitario asintomático2,4,5. Puede alcanzar un tamaño de hasta 7cm, aunque el 73% de las lesiones son menores de 3cm2. Excepcionalmente se han descrito casos de varios nódulos, neumocitoma múltiple, como en nuestro caso, y cuando aparecen síntomas, el más frecuente es el dolor torácico1, como en el caso que hemos expuesto.









