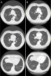
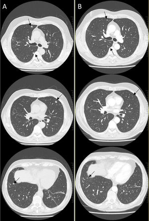
Varón de 67 años, exfumador desde hace 25 años (dosis acumulada: 20 paquetes/año), sin otros antecedentes relevantes. Ingresó por neumonía COVID-19 leve (oxigenoterapia de 2-3 l/min) y fue tratado con remdesivir y dexametasona 8mg/día durante 10 días, siguiendo por protocolo una pauta descendente de prednisona al alta. La tomografía computarizada de alta resolución de tórax de control a los 2 meses (fig. 1 A) mostró múltiples nódulos pulmonares bilaterales sólidos infracentimétricos junto a algunos tractos fibroatelectásicos.
El hallazgo de múltiples nódulos en la tomografía computarizada de alta resolución de pacientes con COVID-19 ha sido previamente descrito1. Sin embargo, la aparición de múltiples nódulos sólidos en fase tardía de neumonías COVID-19 leves sin otros hallazgos inflamatorios es atípica, haciendo plantear un diagnóstico diferencial con proceso neoproliferativo e infeccioso. No obstante, debido a la satisfactoria recuperación clínica del paciente sin signos de alarma, se decidió tratar con 5mg/día de prednisona y repetir una tomografía computarizada de alta resolución de tórax a los 3 meses (fig. 1 B), en la que se apreció una resolución progresiva de los nódulos. A pesar de no disponer de estudio anatomopatológico, dados la evolución radiológica y el contexto clínico, se orientaron como focos organizativos, que es una presentación radiológica infrecuente de neumonía organizativa2.
FinanciaciónAyudas a la investigación del ISCIII, PI21/01287, (Co-funded by European Regional Development Fund, ERDF, a way to build Europe).









