Introducción
La incidencia de las lesiones traqueobronquiales traumáticas (LTBT) está ascendiendo, principalmente por el aumento en las últimas décadas de los accidentes de tráfico y por el incremento de anestesia general con intubación orotraqueal en edades avanzadas1. La mayoría de estas lesiones traumáticas no iatrogénicas son traumatismos no penetrantes de alta energía, como accidentes de tráfico y precipitaciones; sin embargo, las lesiones iatrogénicas postintubación o postraqueotomías tienen una incidencia cada vez mayor2. La mortalidad extrahospitalaria asociada a las lesiones es mayor del 30% aun con la mejoría de los sistemas de transporte y emergencia3. La incidencia global de las LTBT está alrededor del 1-2% de los accidentes de alta energía4,5. Anualmente se producen pocos casos de LTBT, con la consecuente dificultad para el entrenamiento y formación en el tratamiento de esta entidad6,7.
El objetivo de este estudio es describir el abordaje terapéutico, quirúrgico o médico, de estas lesiones con las indicaciones de uno u otro tratamiento en LTBT no iatrogénicas.
Pacientes y método
Se revisaron retrospectivamente los historiales clínicos de los pacientes diagnosticados en nuestro hospital de LTBT no iatrogénicas de enero de 1993 a julio de 2004. Se excluyeron las LTBT iatrogénicas por considerarse entidades con un pronóstico y manejo muy diferentes, al no presentar en su mayoría lesiones traumáticas asociadas. Se recogieron todas las características de interés de estos pacientes: mecanismo de producción, síntomas de presentación, localización de la lesión, pruebas diagnósticas realizadas, lesiones asociadas, tratamiento, estancia hospitalaria y seguimiento. A todos los pacientes se les realizaron broncoscopia flexible y tomografía computarizada de tórax. Generalmente se optó por el tratamiento quirúrgico en todos los pacientes que tenían lesiones esofágicas asociadas, heridas traqueales abiertas, aumento progresivo del enfisema mediastínico o subcutáneo, mediastinitis o colección mediastínica sospechosa, dificultades en la ventilación mecánica o deterioro de los signos vitales por sepsis o síndrome de distrés respiratorio agudo. El tamaño de las LTBT se midió broncoscópicamente. No fueron indicaciones de cirugía el diagnóstico temprano, un tamaño de lesión concreto, la afectación bronquial o de la cara cartilaginosa traqueal ni la necesidad de ventilación mecánica por otra causa. En los casos no quirúrgicos se indicaron tratamiento antibiótico y observación sin cirugía. Se intentó la extubación temprana de todos los pacientes tratados de forma conservadora o quirúrgica. Cuando esto no era posible, se intentaba una intubación por debajo de la lesión si ésta lo permitía. En lesiones bronquiales, si el paciente precisaba ventilación mecánica, ésta se realizó a la menor presión posible que permitía el mantenimiento vital del paciente sin intubación selectiva por el peligro de debilitar la sutura. En las lesiones tratadas quirúrgicamente se efectuaron suturas traqueobronquiales con material biológicamente degradable y se obvió, si era posible, la resección pulmonar. Todas las suturas fueron puntos entrecortados y se cubrieron con tejido autólogo próximo. En cuanto a las lesiones esofágicas, unas se trataron con sutura primaria de la lesión y otras con exclusión esofágica y reconstrucción en segundo tiempo por coloplastia. La lesión de caso número 13 obligó a la realización de una neumonectomía derecha y reconstrucción de la carina traqueal por la gran lesión del bronquio principal derecho y carina traqueal. Todos los pacientes que sobrevivieron fueron seguidos clínica y broncoscópicamente al alta, a los 3 meses de ésta, a los 12 y 24 meses.
El análisis estadístico descriptivo se realizó con el programa SPSS versión 11.
Resultados
Se estudió a 15 pacientes --12 varones (80%) y 3 mujeres (20%) mujeres--, con una edad media (± desviación estándar) de 35,5 ± 18,9 años. La LTBT se produjo por mecanismo no penetrante en 13 (86,7%) y penetrante en 2 (13,3%) (tabla I). La estancia media en el hospital fue 17,6 ± 9,5 días. Todos los pacientes estuvieron en la unidad de cuidados intensivos una media de 12,7 ± 10,7 días. El retraso diagnóstico medio de la LTBT fue 10,2 ± 12,1 h. Los hallazgos clínicos guía más frecuentes y los que aparecieron en el seguimiento se recogen en la tabla II. Las lesiones asociadas se muestran en la tabla III. En la tabla IV se recogen los detalles de la intervención quirúrgica, junto con el retraso diagnóstico y la estancia hospitalaria. Sólo en un caso en el que inicialmente se había optado por tratamiento médico conservador fue necesario tratamiento quirúrgico por progresión de los síntomas. La supervivencia fue del 93,3% (14 casos). Se realizó una reparación traqueal o bronquial en 10 casos (66,6%) y una lesión traqueal se trató con traqueotomía quirúrgica. El fallecimiento de la paciente número 3, que se produjo en la unidad de cuidados intensivos, se debió a parálisis de cuerdas bilateral que secundariamente le produjo hipoxia cerebral. Esta muerte no fue atribuible a la elección del tratamiento conservador por la situación neurológica previamente deteriorada de la paciente. Se realizaron 4 traqueotomías (3 abiertas y una percutánea) para facilitar el destete de ventilación mecánica prolongada (3 casos) y una como tratamiento de la LTBT en la cara anterior cartilaginosa cervical (caso 2). El seguimiento endoscópico no mostró estenosis ni otras alteraciones traqueobronquiales.
Discusión
Las lesiones traqueobronquiales traumáticas son infrecuentes y están asociadas a otras lesiones que a menudo retrasan el diagnóstico8. Un 30-80% de los pacientes con LTBT fallecen durante el traslado prehospitalario a pesar de la mejora de la red de servicios de emergencia3. Kiser et al9 identificaron un número de 265 pacientes en 2001 con LTBT por traumatismo cerrado; de ellas, el 59% fueron por vehículos a motor9. La mortalidad después del diagnóstico si el paciente está estabilizado ha disminuido considerablemente, de un 50 a aproximadamente un 9% en la actualidad9. Mención aparte merecen las lesiones traqueobronquiales causadas por intubación o procedimientos sobre la vía respiratoria, que probablemente son la causa más frecuente de lesión traumática laringotraqueal, sobre todo en intubaciones en mujeres y con tubo de doble luz10.
Está ampliamente reconocida la necesidad de un diagnóstico temprano de la lesión para evaluar el abordaje médico-quirúrgico adecuado y mejorar los resultados de un eventual tratamiento quirúrgico11,12. Para ello es necesario un manejo adecuado del fibrobroncoscopio, que es la mejor herramienta para el diagnóstico2,10. El retraso diagnóstico es por sí mismo el mayor factor desfavorable para el resultado quirúrgico11. Asimismo es fundamental la visión endoscópica para la intubación con el fin de evitar lesiones en la intubación de emergencia, con el empeoramiento de la lesión o producción de una falsa vía13.
La elección del tratamiento conservador se ha descrito, sobre todo, en lesiones iatrogénicas postintubación14-18. Sin embargo, en nuestra experiencia los mismos criterios son válidos para LTBT no iatrogénicas (fig. 1)16. La asociación de lesión esofágica obliga a una reparación quirúrgica inmediata, por el gran peligro de mediastinitis19. Existen grupos muy contrarios al tratamiento conservador2,12; sin embargo, la elección de éste con criterios estrictos y vigilancia en la unidad de cuidados intensivos nos ha dado muy buenos resultados, y nuestra serie, hasta el momento la más larga publicada, aboga por el tratamiento conservador si no existen contraindicaciones.
Fig. 1. Algoritmo terapéutico de las lesiones traqueobronquiales traumáticas (LTBT). TC: tomografía computarizada; SDRA: síndrome de distrés respiratorio agudo.
El tamaño de la LTBT no es por sí mismo un criterio de elección de uno u otro tratamiento, en contra de la opinión de otros grupos14,15,20. Obviamente, el tratamiento conservador tiene mayor probabilidad de éxito en las lesiones pequeñas de la cara membranosa tra-queal10,14,15, mientras que es arriesgado en lesiones mayores de 4 cm. En nuestra serie no hemos indicado tratamiento conservador en lesiones de mayor tamaño porque no cumplían los criterios necesarios y en ningún caso por un tamaño límite para uno u otro tratamiento. Tampoco la afectación bronquial es criterio por sí mismo de indicación quirúrgica (fig. 2). La elección inicial del tratamiento conservador debe estudiarse cuidadosamente, descartando la aparición de colecciones mediastínicas mediante pruebas de imagen repetidas. La indicación quirúrgica puede establecerse en el seguimiento inmediato (fig. 3) de una lesión inicialmente tratada de forma conservadora (fig. 4)20. Un diagnóstico temprano no es, en nuestra opinión, criterio de cirugía en todos los casos, en contra de la opinión de otros grupos eminentemente quirúrgicos2,12; sin embargo, un retraso diagnóstico prolongado puede inclinar al tratamiento conservador de la LTBT, sobre todo por las características de los tejidos adyacentes a la lesión.
Fig. 2. Tomografía axial computarizada de tórax del caso 5, que presentó una lesión traumática con enfisema subcutáneo cervical sin progresión posterior y al que se trató de forma conservadora. La lesión fue toracicobronquial, sin neumotórax asociado.
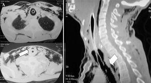
Fig. 3. Tomografía computarizada (TC) cervicotorácica del caso 1, que presentaba una lesión traqueal por arma blanca. A: cortes de TC, donde la flecha señala el nivel hidroaéreo intratraqueal. Gran enfisema mediastínico y subcutáneo. Drenaje torácico por neumotórax. B: reconstrucción de TC cervical, con flecha que señala la lesión traqueal cervical.
Fig. 4. Tomografía computarizada de tórax del caso 10, que presentaba una lesión bronquial traumática. Se trasladó al paciente desde un hospital secundario y se le trató quirúrgicamente sin resección pulmonar. En este caso el tratamiento inicial se intentó sin reparación bronquial con medidas conservadoras, pero el aumento del enfisema subcutáneo, el neumotórax traumático y la atelectasia de pulmón derecho casi completa obligaron a la realización de reparación plástica bronquial.
El tratamiento quirúrgico de elección es la reparación traqueobronquial, cuando ésta es posible (fig. 3)2,6,7,20-22, con cobertura con tejido autólogo: pleural, intercostal, pericardio2. En determinados casos es necesaria la resección pulmonar, pero ésta no es en absoluto aconsejable7,21,22. No obstante, en el seguimiento endoscópico posterior de las reparaciones del bronquio principal suelen verse en los primeros 18 meses estenosis de difícil solución que obligan a la realización de una neumonectomía diferida21. En nuestra serie no hemos tenido ninguna complicación de la reparación de las LTBT6, pero en otros grupos aparecen con mínima frecuencia6,21.
La vía de abordaje más frecuente suele ser la cervical7, aunque en nuestra serie ha sido torácica. La vía transcervical de Angelillo-Mackinley23 es útil en las lesiones limitadas a la cara membranosa traqueal. La vía de abordaje en lesiones bronquiales, de la tráquea torácica baja o de la carina traqueal debe ser la toracotomía. En nuestra serie es más frecuente la lesión en el lado derecho, lo que concuerda con lo referido en la bibliografía internacional22. Es aconsejable el tratamiento antibiótico de amplio espectro independientemente de que realicemos tratamiento quirúrgico o conservador15,16,19,20.
Las lesiones asociadas de estos pacientes suelen prolongar la necesidad de ventilación mecánica, por lo que preferimos la realización de traqueotomía quirúrgica en los casos en que se prevea un difícil destete. Si las posibilidades de intubación prolongada del paciente son bajas, no realizamos ninguna maniobra que ocasione un mayor traumatismo traqueal e intentamos la extubación en el menor tiempo posible.
En conclusión, el tratamiento de las LTBT debe ser multidisciplinario, con la intervención de cirujano torácico, broncoscopistas y médico intensivista. La elección del tratamiento debe someterse a criterios rígidos, y el tratamiento conservador es una opción con gran probabilidad de éxito en pacientes que cumplan criterios estrictos de selección, aunque la mayoría de los casos de nuestra serie requirió tratamiento quirúrgico inicial. El gran tamaño de la lesión, un diagnóstico temprano o ciertas localizaciones no contraindican el tratamiento conservador, aunque un mayor tamaño probablemente puede indicar un peor pronóstico. El tratamiento conservador en pacientes con una lesión mayor de 4 cm podría ser arriesgado, según las series publicadas, por la alta probabilidad de complicaciones y la mínima posibilidad de cumplimiento de criterios de indicación.















