Los sarcomas son tumores mesenquimatosos que tienen su origen en los componentes de estroma de la pared bronquial o en el intersticio del parénquima pulmonar. Las neoplasias sarcomatosas pulmonares son un grupo de tumores muy poco frecuentes y difíciles de diagnosticar. Constituyen tan solo el 0,2-0,5% del total de enfermedades malignas primarias del pulmón. Los leiomiosarcomas pulmonares primarios se subdividen en los que se originan en el parénquima pulmonar, los derivados del árbol bronquial y los que proceden de arterias pulmonares. Presentamos aquí el caso de una mujer afroamericana de 43 años que presentaba tos crónica, fatiga y pérdida de peso. La detección temprana es la clave del tratamiento eficaz de estos pacientes. La opción de tratamiento existente es la resección completa del tumor. Estos casos proporcionan una yuxtaposición interesante con el tratamiento del cáncer de pulmón habitual.
Sarcomas are mesenchymal tumors that originate from the stromal elements of the bronchial wall or from interstices of lung parenchyma. Pulmonary sarcomatous neoplasms are a rare and diagnostically challenging group of tumors. They constitute only 0.2%-0.5% of all primary lung malignancies. Primary pulmonary leiomyosarcomas are subdivided into those originating from pulmonary parenchyma, bronchial tree or pulmonary arteries. Here we present a case of 43-year-old African-American female who with chronic cough, fatigue and weight loss. Early detection is the key to the successful management of these patients. The available treatment option is complete resection of tumor. These cases provide an interesting juxtaposition to the management of typical lung cancer.
Mujer afroamericana de 43 años de edad, con antecedentes conocidos de hipertensión y artrosis de la rodilla derecha, que consultó por tos y esputo blanquecino desde hacía un mes. Estos síntomas se acompañaban de dificultad respiratoria desde hacía 2 semanas, que había aumentado progresivamente y era más pronunciada al subir escaleras o caminar unos pocos metros. La paciente negaba tener náuseas, vómitos o diarrea o pérdida del apetito, pero había apreciado una pérdida de peso de 4,6kg en los últimos 3 meses. No había fumado nunca, pero había tenido una exposición pasiva prolongada al humo de los cigarrillos que fumaba su esposo. En sus antecedentes quirúrgicos destacaba una ooforectomía e histerectomía 8 años antes por un quiste dermoide y múltiples fibromas uterinos cuya biopsia confirmó el carácter benigno. A la exploración se observaron dedos en palillo de tambor, desviación de la tráquea a la izquierda y una notable reducción de los ruidos respiratorios en todos los campos pulmonares derechos, con matidez a la percusión. Había un aumento del frémito vocal y la resonancia vocal, con egofonía. Los análisis hematológicos y bioquímicos fueron normales.
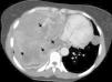
En las exploraciones de imagen, la radiografía de tórax (fig. 1A y B, flechas) mostró una opacidad homogénea del lado derecho que afectaba a la mayor parte del pulmón derecho, con derrame pleural, desviación de la tráquea a la izquierda y 2 opacidades redondeadas en forma de moneda en el campo pulmonar izquierdo (flechas). En una exploración adicional, la tomografía computarizada (TC) de tórax (fig. 2) reveló la presencia de una masa heterogénea grande con múltiples focos de necrosis (puntas de flecha) y un colapso del pulmón derecho. Las dos lesiones en forma de moneda observadas en la radiografía de tórax en el pulmón izquierdo fueron confirmadas por la TC. El mediastino estaba desviado a la izquierda, sin ninguna adenopatía significativa.
A y B) Las proyecciones posteroanterior y lateral de la radiografía de tórax muestran una opacidad homogénea en el lado derecho, que afecta a la mayor parte del pulmón derecho, con derrame pleural y desviación de la tráquea a la izquierda. Se visualizan también dos opacidades redondeadas, en forma de moneda, en el hemitórax izquierdo.
Posteriormente, la punción pleural diagnóstica reveló la presencia de un líquido serosanguinolento con linfocitos y células mesoteliales. No se aislaron células malignas. Las tinciones de Gram y Zeil-Nielsen fueron negativas. Se realizó un estudio diagnóstico para descartar la posible presencia de un tumor primario en algún otro lugar, mediante una TC abdominal, pélvica y craneal, y una mamografía. Todas las exploraciones fueron normales.
Al quinto día se llevó a cabo una biopsia bajo guía de TC de la masa del pulmón derecho, en la que se observaron fragmentos de una neoplasia de células fusiformes con características epitelioides. La tinción inmunohistoquímica mostró una intensa reactividad con desmina, actina de músculo liso [SMA] y caldesmon, lo cual respalda una diferenciación propia del músculo liso. Se estableció un diagnóstico de leiomiosarcoma pulmonar primario con metástasis en el pulmón contralateral. La paciente solicitó el traslado a un centro oncológico especializado, en donde se le practicó una neumonectomía derecha y se le administró quimioterapia y radioterapia paliativas.
DiscusiónLos sarcomas pulmonares primarios (SPP) son tumores excepcionalmente infrecuentes que constituyen tan solo el 0,2-0,5% del total de cánceres de pulmón1,2. El leiomiosarcoma pulmonar es el tipo anatomopatológico más frecuente1. El leiomiosarcoma de los pulmones puede tener su origen en las paredes arteriolares, en el tejido muscular del plano intersticial de las paredes alveolares o en células mesenquimatosas primitivas. Los sarcomas pulmonares son de etiología fundamentalmente metastásica. Por consiguiente, es preciso descartar tanto los sarcomas extrapulmonares metastásicos como los carcinomas sarcomatosos antes de establecer un diagnóstico de SPP. Los pacientes presentan habitualmente síntomas inespecíficos, por lo que el diagnóstico precoz resulta difícil. Es frecuente que la forma de presentación sea la de una masa redondeada y bien delimitada en la radiografía de tórax. A diferencia de los tumores epiteliales, estos tumores no muestran tendencia a la exfoliación y, por tanto, la broncoscopia no es una modalidad diagnóstica apropiada3. Los leiomiosarcomas se extienden a través del torrente circulatorio y, de manera infrecuente, a través de los vasos linfáticos, por lo que la mediastinoscopia no es apropiada para su diagnóstico. El análisis del líquido pleural puede no aportar mucha información, por esa misma razón. Es característico que las metástasis se produzcan de forma tardía en el proceso de la enfermedad, lo cual resalta la importancia de la detección precoz.
Los sarcomas pulmonares primarios se clasifican según la célula de origen. Surgen en el hilio, originándose en las fibras de músculo liso peribronquiales. A diferencia de otros sarcomas que invaden el árbol bronquial, se expanden localmente en el parénquima, y la forma de presentación clínica, radiográfica y macroscópica de estos tumores pulmonares muy infrecuentes no difiere significativamente de la de los tumores más comunes del pulmón. Para la identificación y clasificación exactas es necesaria una obtención de muestras completa y un examen microscópico detallado, así como el examen de inmunohistoquímica y análisis molecular4. Dado que las metástasis pulmonares de los sarcomas extrapulmonares son más frecuentes que la afectación pulmonar primaria, la dificultad diagnóstica básica está en descartar un origen secundario del sarcoma. La TC y la resonancia magnética desempeñan en la actualidad un papel importante en la determinación de la extensión de la invasión del sarcoma torácico primario, las posibilidades de extirpación y la respuesta al tratamiento. Sin embargo, en última instancia es necesaria una evaluación anatomopatológica para establecer el diagnóstico con precisión5. El diagnóstico histológico del leiomiosarcoma se sospecha al identificar una proliferación fascicular de células fusiformes que muestran intersecciones en ángulos rectos. Es característico que las células tumorales tengan un citoplasma eosinófilo fibrilar escaso y núcleos alargados y amortiguados6. La impresión histológica de diferenciación propia del músculo liso puede confirmarse mediante una batería de marcadores inmunohistoquímicos, como desmina, actina de músculo liso y caldesmon. Otros tumores a tener en cuenta en el diagnóstico diferencial son los siguientes: carcinoma no diferenciado, tumor bifásico, carcinosarcoma, tumor carcinoide, timoma intrapulmonar y linfoma.
Las modalidades terapéuticas aplicables son la resección quirúrgica que, si es completa, suele ser curativa para los sarcomas pequeños y bien diferenciados. La extirpación quirúrgica radical es generalmente un tratamiento óptimo. Los tumores mal diferenciados e inextirpables pueden tratarse con radioterapia o quimioterapia paliativas. La mediana de supervivencia es de 48 meses, y la tasa de supervivencia a 5 años oscila entre el 38 y el 48%5. Otras modalidades terapéuticas son la radioterapia y la quimioterapia adyuvante, pero los resultados que obtienen son poco satisfactorios.
El leiomiosarcoma pulmonar primario es un trastorno clínico-patológico muy infrecuente que requiere una detección precoz, un estudio diagnóstico exhaustivo y una determinación del estadio para decidir la modalidad terapéutica y el pronóstico. Se sabe muy poco de sus variantes clínico-patológicas. El factor predictivo más consistente para la supervivencia a largo plazo es el grado del tumor. El tamaño del tumor, el estadio clínico y la resección completa son otras variables a tener en cuenta. La mejor modalidad terapéutica es la resección quirúrgica, pero lamentablemente solamente una tercera parte de los casos pueden ser tratados quirúrgicamente, debido a factores del paciente o a la extensión del tumor.
Conflicto de interesesLos autores no tienen intereses económicos ni conflictos de intereses que declarar.
										
				



 
		




