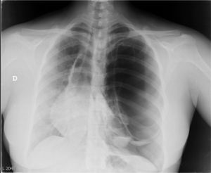
A 31-year-old woman from Pakistan with no significant clinical history consulted due to pleuritic pain of two days duration in the left hemithorax, radiating to the ipsilateral flank with mild hemoptysis. On arrival in the emergency room, she had 38° fever and chills. On auscultation, reduced breath sounds were found on the left side, and accordingly a chest X-ray was performed (Fig. 1, see figure legend).
In view of the radiological image, the chest surgery unit of the reference center was contacted and an angio-CT was performed. This showed voluminous bullae and cystic lesions in the left hemithorax of up to 20cm in diameter, with atelectasis of the pulmonary parenchyma, patent bronchi and air-fluid level in the left pleural space, and left anterior and basal pneumothorax; the right lung showed small subpleural nodules measuring less than 1cm in upper and lower lobes and normal pleural cavity.
A pre-surgical spirometry was performed with the following results: FVC: 1860 (50%), FEV1: 1.43 (47.7%), RV: 2980 (214%), DLCO/VA: 1260 (63.1). Tiffeneau index 0.79; FEV1/FVC: 0.79. Severe non-obstructive ventilatory changes with signs of air trapping.
The bullous complex was subsequently resected using left videothoracoscopy with pleural drainage. The pathology report was negative for malignancy.
Please cite this article as: Ruiz Izquierdo J, Ramos Lázaro J, González Prieto I. Hidroneumotórax en paciente con enfisema bulloso. Arch Bronconeumol. 2014;50:204.








