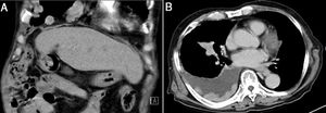
A 80-year-old man had history of hepatocellular carcinoma (HCC) status post right lobectomy of the liver; and prostate cancer, status post hormone therapy and radiotherapy. Elevation of alpha-fetoprotein (AFP) to 51.13ng/mL was noted during follow-up. The abdominal computed tomography (CT) yielded no local tumor recurrence over the liver (Fig. 1A). Unexpectedly discovery of right pleural effusion with a lot of pleural masses was found (Fig. 1B). The supplemental tumor markers of his prostate specific antigen (PSA) level was 0.661ng/mL (within normal range). Repeated thoracentesis for pleural effusion cytology and cell-block yielded negative for malignancy cell. Then, we performed a pleuroscopy, and a lot of cobble-like and protruding pleural masses are found (Fig. 2A). Peural masses of different sizes are revealed (Fig. 2B). Biopsy was performed and the pathology report showed carcinoma with hepatic origin (positive for arginase-1, hepar-1 and negative for calretinin).
The most common extrahepatic metastatic sites of HCC are lung, abdominal lymph nodes, adrenal gland and bones1. The pleural metastasis of HCC is rare. Most case with pleural metastasis also combined with direct liver tumor invasion to chest wall with hemothorax2,3. We report a case of pleural metastasis of HCC without direct invasion nor residual liver tumor. Our case was finally diagnosed by pleuroscopy biopsy.









