La enfermedad por depósito de cadenas ligeras (EDCL) es una rara entidad sistémica caracterizada por la acumulación de cadenas ligeras de inmunoglobulinas en múltiples órganos y se asocia, en la mayor parte de los casos, a mieloma múltiple o a trastornos linfoproliferativos. A diferencia de la amiloidosis, el material no fibrilar depositado no se tiñe con rojo Congo1. Los órganos más afectados son el riñón, el corazón, el hígado y el sistema nervioso. La afectación pulmonar secundaria a EDCL es muy infrecuente, y suele presentarse en forma de quistes pulmonares confluyentes, aunque existen formas de presentación atípicas como nódulos o bronquiectasias2.
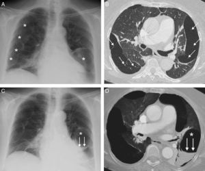
Presentamos el caso de una hemorragia intraquística pulmonar secundaria a anticoagulación en una paciente no fumadora de 59 años con afectación pulmonar quística grave asociada a una EDCL. La paciente consultó por disnea progresiva y dolor torácico, y entre sus antecedentes personales destacaban, además de la enfermedad pulmonar quística secundaria a EDCL (para la que se encuentra en lista de espera para un trasplante pulmonar), un mieloma múltiple diagnosticado 8 años antes y un síndrome nefrótico refractario a tratamiento esteroideo secundario a la EDCL. Una radiografía de tórax (fig. 1A) demostró múltiples imágenes quísticas en ambos pulmones de predominio subpleural (ya conocidas). Una angiotomografía computarizada (angio-TC) de tórax detectó un tromboembolismo pulmonar (TEP), además de la presencia de grandes lesiones quísticas subpleurales de paredes finas en todos los lóbulos (descritas en estudios previos) atravesadas de vasos pulmonares (fig. 1B). Cuatro semanas después del inicio del tratamiento anticoagulante, la paciente presentó un episodio de dolor torácico izquierdo y un esputo hemoptoico, detectándose en la radiografía de tórax la aparición de un nivel hidroaéreo en la base pulmonar izquierda (fig. 1C). Una tomografía computarizada (TC) de tórax confirmó la presencia de un nivel hidroaéreo en el interior de una lesión quística del lóbulo inferior izquierdo (fig. 1D). La densidad elevada del componente líquido intracavitario sugería un sangrado reciente. Se procedió a embolizar con partículas de gelfoam las ramas arteriales pulmonares que rodeaban la formación quística sangrada, mejorando la sintomatología de la paciente.
A) Radiografía de tórax en la que se observan múltiples formaciones quísticas subpleurales (asteriscos), en ambos pulmones. B) Imagen axial de la TC de tórax (ventana de pulmón) en la que se visualizan múltiples lesiones quísticas confluyentes en la periferia de ambos pulmones. Nótese la presencia de pequeños vasos pulmonares (flechas) que atraviesan las formaciones quísticas. C) Radiografía de tórax en la que se identifica la aparición de un nivel hidroaéreo (flechas) en una lesión quística de la base pulmonar izquierda (asterisco). D) Reconstrucción axial proyección de mínima intensidad (minIP), en la que se aprecia el nivel hidroaéreo (flechas) correspondiente al sangrado en el interior de una lesión quística (asterisco) del lóbulo inferior izquierdo.
La EDCL es una rara enfermedad sistémica, que suele asociarse a discrasias de células plasmáticas o a síndrome linfoproliferativo, en la que las cadenas ligeras de inmunoglobulinas se depositan en múltiples tejidos (especialmente en riñón, hígado y corazón)1. Cuando afecta al pulmón puede hacerlo en forma de una enfermedad quística difusa, de nódulos o de bronquiectasias2,3. La forma de afectación quística pulmonar es la más frecuente, presentando los quistes un tamaño variable (con tendencia a confluir), una distribución difusa, una pared fina, vasos pulmonares en sus paredes y, característicamente, vasos pulmonares atravesando las formaciones quísticas4,5. No hemos encontrado referencias bibliográficas que describan una hemorragia intraquística como complicación en una afectación pulmonar quística difusa asociada a una EDCL. La frecuencia coexistencia de síndrome nefrótico en la EDCL (secundario a la afectación renal) aumenta el riesgo de enfermedad tromboembólica en estos pacientes, por lo que el tratamiento anticoagulante de los eventos tromboembólicos puede aumentar el riesgo de sangrado intracavitario. Asimismo, creemos que es importante tener en cuenta que en la afectación pulmonar quística asociada a una EDCL los vasos que característicamente atraviesan los quistes son vasos pulmonares (y no arterias bronquiales u otras arterias sistémicas), por lo que ante un eventual sangrado intraquístico deberá plantearse una embolización de las arterias pulmonares.








