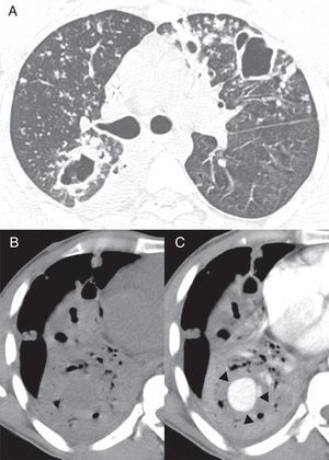
Hemos leído con atención el interesante caso de un varón de 33 años con hemoptisis descrito por Peghini Gavilanes et al.1, en el cual una tomografía computarizada torácica con contraste mostró un aneurisma de Rasmussen secundario a tuberculosis. El paciente falleció 2 días después debido a una hemoptisis masiva. Aunque los aneurismas de Rasmussen con frecuencia se presentan como lesiones nodulares en lesiones tuberculosas cavitarias o adyacentes a estas1,2, también pueden aparecer en consolidaciones, lo que hace más difícil su detección. Nos gustaría informar del caso similar de un varón de 37 años, que ingresó en el servicio de urgencias con hemoptisis. El paciente tenía antecedentes de tuberculosis pulmonar (TB) tratada de forma irregular durante los 2 años anteriores y el cultivo de esputo fue positivo para bacilos ácido-alcohol resistentes. La fibrobroncoscopia mostró sangrado activo procedente del bronquio del lóbulo inferior derecho. Una tomografía torácica con contraste mostró nódulos y cavidades indicativos de tuberculosis pulmonar activa, y una consolidación en el lóbulo inferior derecho con una lesión redondeada con captación en el área consolidada (fig. 1). Se realizó una embolización transcatéter con espirales. Se pautó también tratamiento para la tuberculosis, y el paciente se recuperó bien, sin recurrencia de la hemorragia durante un año de seguimiento.
A) Imagen de tomografía computarizada (TC) axial a nivel de la bifurcación bronquial obtenida con configuración en ventana de pulmón. Muestra múltiples nódulos bilaterales y cavidades en el parénquima pulmonar. Imágenes de TC en ventana mediastinal a nivel de los lóbulos inferiores, antes (B) y después (C) de la administración de contraste muestran una consolidación en el lóbulo inferior derecho con una lesión redonda, con captación dentro del área consolidada (flechas).
Con el reciente resurgimiento a nivel mundial de los casos de infección por Mycobacterium tuberculosis, es importante reconocer las complicaciones y secuelas. La hemoptisis (a menudo masiva) concomitante a TB puede tener diversas etiologías como bronquiectasia, aspergiloma, reactivación de la TB, carcinoma cicatricial, bronquitis crónica, colonización microbiana de una cavidad y complicaciones vasculares tales como seudoaneurismas3. Los seudoaneurismas de arterias pulmonares secundarios a TB se conocen como aneurismas de Rasmussen, y su origen es la destrucción de la media de las arterias pulmonares segmentarias por tejido de granulación de TB cavitaria adyacente1,4,5. La hemoptisis masiva asociada a la tuberculosis cavitaria crónica suele deberse a la rotura de un seudoaneurisma a través de la pared de la cavidad, y puede ser letal1,4,5.
El diagnóstico del aneurisma de Rasmussen puede hacerse fácilmente basándose en hallazgos de imagen característicos. Los hallazgos radiológicos que pueden indicar la formación de un seudoaneurisma son la protrusión intracavitaria, la sustitución de una cavidad por un nódulo y una masa de rápido crecimiento4. Se pueden identificar en las imágenes de tomografía computarizada antes y después de la administración de contraste como nódulos con una alta captación alojados en las paredes de cavidades tuberculosas2 o en consolidaciones.
El manejo óptimo de la hemoptisis masiva es fuente de debate actualmente5. La oclusión endovascular del cuello del aneurisma pulmonar está bien descrita en la literatura, y suele tener éxito en el tratamiento del aneurisma de Rasmussen1,5. Las posibles complicaciones del tratamiento son la recidiva hemorrágica, la embolización accidental de un arteria espinal que lleve a mielopatía isquémica y la rotura del aneurisma durante el cateterismo diagnóstico1,5, con un alto riesgo de mortalidad. La escisión quirúrgica se recomienda solo si no es posible una intervención radiológica experta o si hay un considerable proceso destructivo en el pulmón5.
En conclusión, el aneurisma de Rasmussen debe incluirse en el diagnóstico diferencial de la hemoptisis en los pacientes con TB. La realización de una tomografía computarizada con contraste juega un papel importante en la evaluación de estos pacientes.








