Hemos leído con gran interés el artículo publicado por Azcárate Perea et al1 en el que se describe a una paciente con múltiples nódulos pulmonares calcificados y bilaterales, a quien finalmente se diagnosticó hemangioendotelioma epitelioide. Este caso destaca la importancia de un diagnóstico certero en una paciente que presentaba nódulos pulmonares múltiples. Deseamos informar de nuestra experiencia con un caso similar, si bien las características clínicas y radiológicas son muy diferentes.
El hemangioendotelioma epitelioide es un tumor muy poco común de origen endotelial, con un curso intermedio entre los tumores vasculares benignos (hemoangiomas) y los tumores francamente malignos (angiosarcomas). Aunque se encuentra más comúnmente en el hígado y el pulmón, puede propagarse a cualquier lugar del cuerpo, incluidos el hueso, la mama, el cerebro, las meninges y los ganglios linfáticos2,3. Generalmente, el hemangioendotelioma epitelioide pulmonar (HEP) se manifiesta en forma de múltiples nódulos bilaterales y tiende a seguir un curso clínico largo1. En la bibliografía especializada sólo se han comunicado 2 casos de múltiples nódulos calcificados detectados en la tomografía computarizada (TAC)4,5. En ambos casos, los pacientes sólo desarrollaron calcificaciones entre 10 y 20 años después del diagnóstico. Describimos nuestra experiencia con un caso de HEP que presentaba múltiples nódulos calcificados en la TAC. Según nuestro conocimiento, se trata del primer caso documentado de HEP en el que se visualizaron mediante TAC múltiples nódulos calcificados en el pulmón al inicio de la presentación.
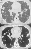
Mujer de 53 años con antecedentes de disnea progresiva en los últimos 3 meses, así como dolor persistente sin irradiación en la región lumbar. También informó de pérdida de peso de 15kg durante el año anterior. En el muslo derecho se observaron lesiones púrpuras indoloras. Los demás resultados de la exploración física y de los análisis de laboratorio no presentaban hallazgos reseñables. La radiografía de tórax y la TAC mostraron múltiples nódulos en los lóbulos pulmonares, de tamaño variable (entre 5 y 25mm), que contenían calcificaciones (fig. 1). Las zonas inferiores del pulmón eran las más afectadas. No se apreciaron linfadenopatía ni derrame pleural. Se observaron asimismo lesiones hepáticas hipodensas y lesiones osteolíticas en las vértebras de la columna vertebral, indicativas de metástasis. Un nódulo resecado mediante biopsia de pulmón a cielo abierto permitió establecer el diagnóstico de hemangioendotelioma epitelioide. La biopsia de la lesión del muslo confirmó la misma histología.
En la radiografía o la TAC torácicas, la HEP se manifiesta como nódulos perivasculares múltiples que presentan márgenes bien o mal definidos y distribución bilateral2,3,5. A pesar de que la histopatología revela con frecuencia calcificación y osificación, la radiología convencional rara vez muestra la densidad cálcica3. La TAC evidencia por lo general más nódulos que los apreciados en la radiografía de tórax, con una distribución perivascular y márgenes irregulares2,3. Nuestra paciente presentaba múltiples nódulos calcificados de tamaño variable. El diagnóstico diferencial incluye las metástasis calcificadas, la amiloidosis nodular, las enfermedades granulomatosas infecciosas, los granulomas hialinizantes, los hamartomas múltiples, los condromas múltiples y la neumoconiosis4,6. Por lo general se requiere una biopsia de pulmón a cielo abierto para establecer el diagnóstico. La inmunohistoquímica también suele ser necesaria para el diagnóstico1. En conclusión, la HEP debe considerarse en el diagnóstico diferencial de nódulos calcificados múltiples.








