El drenaje venoso pulmonar anómalo parcial (DVPAP) es una patología vascular congénita inusual que suele diagnosticarse incidentalmente. Consiste en la conexión de una (o más) venas pulmonares a una vena sistémica, condicionando un cortocircuito izquierda-derecha. Suele ser asintomática, pero cuando se asocia a otras malformaciones o el cortocircuito es significativo, puede en algunos casos causar hipertensión pulmonar severa1. La forma más frecuente de DVPAP consiste en un drenaje de la vena lobar superior derecha a la vena cava superior; esta forma suele asociarse en un 80% de casos a una comunicación interauricular tipo seno venoso2.
Presentamos un caso de DVPAP diagnosticado incidentalmente en una tomografía computarizada (TC) de tórax en una mujer de 51 años, asintomática. En la TC se observó un DVPAP del lóbulo superior derecho, del lóbulo medio y de algunos segmentos del lóbulo inferior derecho a la vena cava superior, que condicionaba una dilatación de cavidades cardiacas derechas y signos de hipertensión pulmonar precapilar (fig. 1B y C). Nuestro caso resulta interesante por la edad de presentación (a pesar de un DVPAP significativo) y la ausencia de una comunicación interauricular tipo seno venoso concomitante. De forma consensuada se decidió actitud expectante dada la buena función biventricular y la ausencia de síntomas.
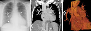
A) Radiografía de tórax (proyección posteroanterior) en la que se observa un crecimiento de la aurícula derecha (punta de flecha), un aumento del tamaño y de la densidad de ambos hilios (flechas curvas); nótese la presencia de una estructura tubular en pulmón derecho (flechas rectas). B y C) Imágenes de reconstrucción coronal MIP (proyección de intensidad máxima) (B) y 3D (C) en las que se confirma la existencia de un drenaje de la vena lobar superior derecha a la vena cava superior (flechas rectas). Además el retorno venoso del lóbulo medio y de varios segmentos del lóbulo inferior derecho también drenaba en dicha estructura tubular. Se observan signos de hipertensión pulmonar precapilar con aumento del calibre del tronco de la arteria pulmonar (asterisco) y crecimiento secundario de la AD. AD: aurícula derecha; Inn: vena innominada; VCS: vena cava superior; VD: ventrículo derecho.
 
										
				



 
 
		




