El mieloma múltiple (MM) es la segunda neoplasia hematológica maligna más frecuente y se presenta generalmente con dolor óseo, fracturas patológicas y anemia1. Puede afectar al tórax en forma de lesiones óseas, plasmocitomas, infiltraciones pulmonares y derrame pleural2. Si bien el derrame pleural se observa en el 6% de pacientes con mieloma3, el derrame pleural por infiltración de células plasmáticas es poco frecuente, con una incidencia del 0,8% y menos de 100 casos descritos hasta la fecha.
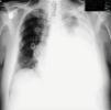
A un hombre de 62 años de edad se le diagnosticó MM (Ig G-kappa) en estadio IIIA en junio de 2010. Se le trató con 2 ciclos de bortezomib y, a continuación, se le realizó un trasplante autógeno de células madre en septiembre de 2010. Para mantenimiento se le trató con ciclofosfamida a una dosis de 50mg/día. Se presentó con dolor en el pecho en agosto de 2012 y se le detectó una masa palpable en el hemitórax izquierdo. La radiografía simple mostró múltiples fracturas costales y el PET-TAC reveló una masa expansiva de 8×9cm ubicada en el hemitórax izquierdo a la altura de las costillas 9.ª y 10.ª (valor de captación estandarizado máximo 15,5). Los resultados de las pruebas de laboratorio fueron: hemoglobina 14,1g/dl, leucocitos 5×109/L, plaquetas 242×109/L, creatinina 0,8mg/dl, ácido úrico 6mg/dl, calcio 10,7mg/dl, proteína total 7,4g/dl, albúmina 4,9g/dl, globulina 2,5g/dl, kappa 217mg/dl y microglobulina β-2 3.668ng/ml. La electroforesis de proteínas séricas fue normal. La detección por FISH de 17p13, 1 (gen p53) fue negativa. La biopsia de médula ósea mostró infiltración de células plasmáticas CD138 (+) y kappa (+). Se le trató con lenalidomid-dexametasona y, tras 2 ciclos de tratamiento, se detectó un derrame pleural en el hemitórax izquierdo en noviembre de 2012 (fig. 1). Se realizó toracocentesis, que reveló exudado con 6g/dl de proteína. El examen citológico mostró pequeños linfocitos, leucocitos polimorfonucleares, células mesoteliales y células plasmáticas atípicas positivas a CD138 e Ig G-kappa. La tinción inmunohistoquímica frente a HHV-8 fue negativa y los cultivos bacterianos y de micobacterias fueron negativos. Se añadió tratamiento con bortezomib, pero el paciente falleció por insuficiencia respiratoria 2 meses tras el diagnóstico de afectación pleural.
El derrame mielomatoso maligno aparece por una infiltración de la pleura causada por la proliferación anormal de células plasmáticas de un plasmocitoma extramedular de la pared torácica, de los pulmones o de los huesos. Los criterios de diagnóstico del derrame pleural mielomatoso son: hallazgo de una proteína monoclonal por electroforesis del líquido pleural, detección de células plasmáticas atípicas en el líquido pleural y confirmación histológica por biopsia pleural4. La afectación de la cavidad pleural tiene mal pronóstico y se administró quimioterapia sistémica (interferones, bortezomib, talidomida), radioterapia, trasplante autógeno de células madre e inyección directa de agentes quimioterápicos en la cavidad pleural. Ha habido muy pocos casos de derrame pleural maligno en los que bortezomib haya sido eficaz, pero la infiltración pleural resulta fatal, con una mediana de supervivencia de 1,5-3 meses. Por lo tanto, en el mieloma con afectación de las cavidades pleurales, se pueden indicar los regímenes de quimioterapia más agresivos.
AutoríaDepartamento de Hematología, +90 232 3903504. Recogió los datos y preparó el manuscrito.
Conflicto de interesesLos autores declaran no tener ningún conflicto de intereses.








