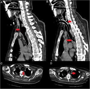
Describimos el caso de una mujer de 67 años diagnosticada de esclerosis lateral amiotrófica desde 2008, con necesidad de alimentación enteral por gastrostomía endoscópica percutánea (PEG) desde 2010 y ventilación mecánica invasiva (VMI) a través de traqueostomía desde 2015. En 2018, tras 3 años con VMI, acude a urgencias por fiebre, objetivándose salida de contenido alimentario a través de la traqueostomía. La tomografía computarizada (TC) de tórax reveló una fístula traqueoesofágica de 5×2,6mm en la región posterolateral izquierda de la tráquea junto con dilatación traqueal en la zona de inserción de la cánula (fig. 1). Aunque se implantó una cánula traqueal para superar el trayecto fistuloso, dada la escasa mejoría clínica y los antecedentes personales, se optó por una limitación del esfuerzo terapéutico.
La fístula traqueoesofágica es una complicación infrecuente, entre el 0,3-3%, en pacientes traqueostomizados y se produce por la presión prolongada que ejerce el balón de la cánula de traqueostomía sobre la pared posterior de la tráquea provocando isquemia y necrosis de la zona1. Debemos pensar en ella cuando aparezca distensión abdominal, broncoaspiraciones o tos al tragar2. En nuestro caso, pese a que la paciente se alimentaba por una PEG no se pudieron evitar las broncoaspiraciones repetidas.
 
										
				



 
 
		




