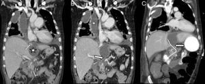
Paciente varón de 47 años con antecedente de pancreatitis crónica con seudoquiste pancreático que ingresa por cuadro constitucional, vómitos, fiebre y dolor torácico pleurítico. En la TC observamos derrame pleural bilateral loculado con un trayecto fistuloso transdiafragmático entre el seudoquiste y el conducto pancreático y una colección paramediastínica derecha (fig. 1).
A y B) Reconstrucciones coronales de la TC en paciente de 47 años con antecedente de pancreatitis crónica complicada con fístula pancreato-torácica. La TC muestra un derrame pleural loculado (estrella en B) con comunicación (flecha en A) con el seudoquiste (estrella en A) que a su vez conecta con el Wirsung (flecha en B). C) La TC de control realizada a los 12 días, tras CPRE con colocación de prótesis (flecha en C) que drena el seudoquiste y la colección pleural a través del Wirsung a duodeno.
El paciente presenta insuficiencia respiratoria progresiva con traslado a la UCI.
Tras los hallazgos se colocan tubos de drenaje pleural bilaterales obteniéndose líquido con citología inflamatoria aguda y amilasa elevada. Se coloca una prótesis pancreática por CPRE (fig. 1).
El paciente presenta mejoría clínica y radiológica tras los procedimientos.
Las complicaciones torácicas de las pancreatitis son infrecuentes (15-50%). La más frecuente es la neumonía con derrame pleural. Más raras son el seudoquiste con extensión mediastínica, la fístula pancreato-torácica y la mediastinitis.
La fístula pancreático pleural (0,4%) es una comunicación anómala entre el conducto pancreático y la pleura, más frecuente secundaria a pancreatitis crónica enólica y debe sospecharse ante un derrame pleural voluminoso (sobre todo izquierdo) persistente con amilasa elevada. La demostración de la fístula se realiza por TC, RM o endoscopia1,2.
El tratamiento incluye control del derrame, inhibición de la secreción pancreática y aislamiento de la fístula vía endoscópica o cirugía.








