Varón de 60años con antecedentes de tabaquismo activo (40paquetes/año), EPOC, neumonía en lóbulo superior derecho y fístula esofagocutánea por TBC. Trabajador de limpieza con chorro de arena durante 25años y que habitualmente no usaba protección en el trabajo.
Consultó por disnea progresiva de meses de evolución sin tos, fiebre, expectoración o síndrome constitucional asociado.
En la auscultación se evidenciaron algunos roncus diseminados en ambos campos pulmonares. La analítica general no mostraba hallazgos relevantes y en la gasometría venosa se observaron los siguientes datos: pH: 7,45; PCO2: 35; PO2: 92; SaO2: 97%. El estudio de la función pulmonar mostraba un patrón mixto con una capacidad vital forzada (FVC) de 2,67l (72%), un volumen espiratorio forzado en el primer minuto (FEV1) de 1,67l (57%), un cociente FEV1/FVC del 62% y un flujo espiratorio forzado entre el 25 y el 75% (FEF25-75) del 51%.
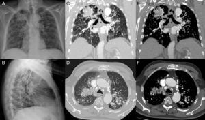
La radiografía de tórax mostraba un patrón nodular bilateral difuso con opacidades posteriores en lóbulos superiores, asociadas a pérdida de volumen, retracción hiliar y enfisema compensador de los lóbulos inferiores. Así mismo se observaron adenopatías hiliares bilaterales con calcificaciones periféricas en «cáscara de huevo» (fig. 1A,B,E,F).
Radiografía posteroanterior (A) y lateral de tórax (B): opacidades bilaterales en lóbulos superiores de localización posterior (visibles en B), asociadas a pérdida de volumen, retracción hiliar y enfisema compensador de los lóbulos inferiores. Patrón nodular bilateral difuso. Adenopatías hiliares con calcificaciones periféricas en «cáscara de huevo». TC. Imágenes coronales (C, E) y axiales (D, F) en ventana de pulmón y mediastino, respectivamente: opacidades bilaterales en segmentos posteriores de lóbulos superiores con calcificaciones puntiformes en su interior. Enfisema paracicatricial entre la opacidad del lóbulo superior derecho y la pleura adyacente (asterisco). Múltiples nódulos centrolobulillares de distribución bilateral y difusa. Adenopatías mediastínicas e hiliares con calcificaciones en «cáscara de huevo» (flechas).
La TC demostró la presencia de calcificaciones puntiformes en el interior de las opacidades y la existencia de un enfisema paracicatricial entre la opacidad del lóbulo superior derecho y la pleura adyacente (fig. 1C,D).
Estos hallazgos eran compatibles con fibrosis masiva progresiva. Se recomendó el abandono del tabaco y se instauró tratamiento sintomático con broncodilatadores y N-acetilcisteína. Actualmente el paciente se encuentra estable desde el punto de vista respiratorio.
Ferreira AS, Moreira VB, Ricardo HM, Coutinho R, Gabetto JM, Marchiori E. Pro-gressive massive fibrosis in silica-exposed workers. High-resolution computedtomography findings. J Bras Pneumol. 2006;32:523–8.
González Vázquez M, Trinidad López C, Castellón Plaza D, Calatayud Moscoso delPrado J, Tardáguila Montero F. Silicosis: Computed tomography findings. Radiologia. 2012 [Epub ahead of print].
- Home
- All contents
- Publish your article
- About the journal
- Metrics








