Sr. Director:
La enfermedad de Kikuchi-Fujimoto o linfadenitis histiocítica necrosante es una enfermedad infrecuente que generalmente se asocia a linfadenopatías cervicales y fiebre. Presentamos un caso de dicha enfermedad en una localización atípica, como es el mediastino anterior, asociada a nódulos pulmonares múltiples.
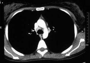
Mujer de 27 años de edad, a quien se valoró en el Servicio de Medicina Interna por fiebre diaria de 3 meses de evolución, de predominio vespertino, sudación nocturna y lesiones maculopapulares no pruriginosas. La exploración física era normal, sin que se apreciaran adenopatías cervicales ni supraclaviculares. La analítica no presentaba alteraciones. Se realizó aglutinación tífica y de Brucella, que fueron negativas, al igual que los anticuerpos contra el virus de Epstein-Barr, las pruebas reumáticas e inmunológicas y el Mantoux. En la tomografía computarizada toracoabdominal se objetivaron nódulos subpleurales de distribución periférica y pequeño tamaño, el mayor de 9mm de diámetro, en el pulmón derecho, discretas adenopatías paratraqueales e hiliares bilaterales, y una adenopatía subcarinal (figura 1). La fibrobroncoscopia fue normal. Se efectuaron biopsias transbronquiales, bronquiales, lavado broncoalveolar para citología y microbiología, sin hallazgos concluyentes. Se decidió efectuar una mediastinoscopia, en la que se observó un conglomerado ganglionar en la región 4R, del que se tomaron biopsias para microbiología y anatomía patológica. La microbiología fue negativa y el informe de anatomía patológica señaló linfadenitis reactiva con necrosis aneutrofílica, indicativa de enfermedad de Kikuchi. Al mes de la cirugía la paciente se encontraba afebril y asintomática.
Figura 1. Tomografía axial computarizada.
La enfermedad de Kikuchi-Fujimoto, linfadenitis necrosante aneutrofílica o linfadenitis histiocítica necrosante es una enfermedad autolimitada de curso benigno. Afecta con mayor frecuencia a mujeres jóvenes, generalmente menores de 30 años, de origen asiático. Aunque la etiología es desconocida, se ha relacionado con virus como el parvovirus B19, virus de la inmunodeficiencia humana, de Epstein-Barr, citomegalovirus y herpes tipo 6. Otros microorganismos relacionados son Toxoplasma, Yersinia y Brucella. Algunos autores señalan como causa de la enfermedad una respuesta inmunológica exagerada a distintos agentes1.
Su forma más frecuente de presentación son las adenopatías cervicales, que se observan en un 70¿90% de los casos, generalmente unilaterales. Otra localización menos habitual es la glándula parótida. La fiebre es otro de los síntomas más frecuentes, presentándose en un 30¿50% de los casos. Otros síntomas que pueden acompañar a esta enfermedad son la fatiga, la sudación nocturna (como nuestra paciente), la pérdida de peso, las alteraciones gastrointestinales o diversas alteraciones cutáneas como exantemas2,3.
El diagnóstico de esta enfermedad es complejo, ya que no hay datos de laboratorio ni pruebas de imagen concluyentes, aunque sirven para excluir otras enfermedades. El diagnóstico sólo puede realizarse mediante biopsia de las adenopatías, pues la aspiración con aguja fina no aporta información suficiente4.
Desde el punto de vista anatomopatológico hay 3 fases de la enfermedad: la proliferativa, donde se observa un aumento de células mononucleares; la necrosante, donde además de la necrosis hay un predominio de histiocitos, y por último, la fase xantomatosa. Esto obliga a hacer un diagnóstico diferencial con enfermedades como el lupus eritematoso sistémico, linfomas, enfermedad de Hodgkin, tuberculosis, etc.5,6.
La enfermedad suele tener un curso benigno y autolimitado, aunque se han descrito algunos casos de recidiva. Lo que sí parece claro es que hay una asociación entre el lupus y la enfermedad de Kikuchi-Fujimoto, por lo que se recomienda realizar un seguimiento estrecho de estos pacientes1,6.








