La eficacia del tratamiento mediante instilación endovesical con bacilo de Calmette-Guérin (BCG), cepa viva atenuada de Mycobacterium bovis, para el carcinoma in situ y superficial de vejiga se ha demostrado en numerosos estudios. No obstante, su uso no está exento de complicaciones1–3.
Describimos el caso de un paciente diagnosticado de derrame pleural por M. bovis, tras haber recibido tratamiento con instilación intravesical de BCG.
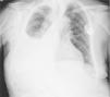
Se trata de un varón de 85 años, exfumador, con enfermedad pulmonar obstructiva crónica leve, fibrilación auricular y portador de marcapasos por enfermedad del seno diagnosticado de un urotelioma multifocal de vejiga tratado mediante resección transuretral y 6 instilaciones de BCG. Un año más tarde, acude a urgencias por dolor torácico de características pleuríticas y aumento de disnea, evidenciando en la radiografía de tórax (fig. 1) derrame pleural derecho. Se instaura antibioterapia empírica con amoxicilina/clavulánico e ingresa en neumología para ampliar el estudio con una tomografía computarizada (TC) torácica y una toracocentesis diagnóstica. En la primera describen un extenso derrame pleural derecho con atelectasia pasiva del lóbulo inferior ipsilateral, un granuloma calcificado subpleural en el lóbulo inferior izquierdo y adenopatías prevasculares e hiliares, sugestivas de un proceso granulomatoso previo. En la toracocentesis obtuvimos un líquido pleural turbio, tipo exudado con adenosin deaminasa (ADA) elevada (63,9 U/l) y predominio de células mononucleares (85%). No realizamos biopsia pleural dada la alta probabilidad de que se tratase de una infección por Mycobacterium, en virtud de las características del líquido obtenido. El cultivo del mismo fue positivo para M. bovis, estableciéndose el diagnóstico de derrame pleural por M. bovis secundario a la instilación endovesical de BCG. El paciente recibió tratamiento durante 6 meses con isoniacida, rifampicina y etambutol con buena respuesta clínica y resolución del derrame pleural, sin presentar efectos adversos a la medicación.
Aunque la instilación intravesical de BCG suele ser bien tolerada se han descrito complicaciones a nivel local (1%) y sistémicas (4,8%). Dentro de las sistémicas, las complicaciones pulmonares suponen el 1-3% y se han descrito 5 formas de presentación: neumonitis intersticial, empiema, daño alveolar difuso, neumonía con o sin cavitación y la tuberculosis (TBC) miliar. Esta última es la forma más frecuente de infección por BCG en la literatura y supone un tercio de los casos1,2. Respecto a la etiopatogenia de la afectación sistémica, algunos autores postulan que se trata de una reacción de hipersensibilidad a la BCG, y otros opinan que es una diseminación sistémica tras una siembra hematógena a partir de la vejiga3,4.
No se ha podido demostrar que la profilaxis con isoniacida proteja frente a la diseminación sistémica tras administración intravesical de BCG5. Por otro lado, la aparición de las complicaciones puede retrasarse de meses a años desde la primera instilación2.
En el caso que presentamos, el cultivo fue positivo para M. bovis. En la TC torácica de nuestro paciente aparecieron lesiones residuales de una posible TBC antigua no tratada. La frecuencia de las complicaciones es mayor en pacientes con antecedentes de TBC que en pacientes sin enfermedad tuberculosa previa6.
Nuestro caso presenta la peculiaridad de demostrar la presencia de bacilos en el líquido pleural, lo que nos permite el diagnóstico de derrame pleural secundario a diseminación de BCG, tras instilación intravesical, al año de haber recibido este tratamiento. También es poco común la complicación como derrame pleural. En la literatura solo hemos encontrado un caso similar de derrame pleural 6 años después de haber recibido tratamiento con BCG pero en él no se consiguió aislar la micobacteria en el líquido7.








