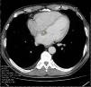
A 57-year-old man was referred to the hospital for evaluation of a right hilar lung mass discovered on a chest X-ray performed because of a persistent cough, increasing effort dyspnea and deterioration of the general condition. He has no medical history and had smoked 35 packs a year. On the admission, physical examination showed a slow heart rate at 40 beats per minute. The electrocardiogram showed a complete atrioventricular block. On echocardiography, a 26×17mm mass was noted in the basal area of the atrial septum without interfering with the mitral valve function (Fig. 1). A thoracic computed tomography (CT) scan revealed a right pulmonary hilum mass with mediastinal and peritoneal lymphadenopathy, adrenal metastasis, and a low-density mass located on the interatrial septum (Fig. 2). Fiberoptic bronchoscopy showed stenosis with mucosal tumor infiltration in the right upper lobe bronchus. The bronchial biopsy revealed a moderately differentiated adenocarcinoma. Based on these findings, the atrioventricular block was associated with interatrial septum metastasis of the lung adenocarcinoma. A pacemaker was implanted and pemetrexed platinum chemotherapy was started.
Myocardial metastases from lung cancer are uncommon. Electrocardiographic abnormalities in include arrhythmia, conduction disturbances and complete atrioventricular blocks.1 Echocardiography is the best non invasive imaging technique for cardiac tumors detection. Cardiac magnetic resonance imaging (MRI), used to determine tumor morphology and to predict malignancy, has higher temporal resolution and further tissue characterization than cardiac computed tomography (CT). CT is an alternative to cardiac MRI and echocardiography.2









