Sr. Director: La compresión abdominal es una maniobra que se utiliza con frecuencia como método de tos asistida manual1 en pacientes con enfermedad principalmente neuromuscular y tos insuficiente para expectorar secreciones bronquiales2. Se presenta el caso de una paciente con tetraparesia secundaria a mielitis transversa y cuyos cuidadores emplearon durante años la mencionada técnica, que presumiblemente estuvo asociada a la complicación que motivó el ingreso de la paciente en el hospital.
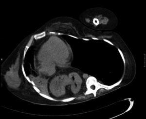
Mujer de 33 años, diagnosticada de tetraparesia secundaria a mielitis transversa a los 2 años de edad. Como secuelas desarrolló cifoscoliosis grave con alteración ventilatoria restrictiva. Sus cuidadores le aplicaban de forma continuada la técnica de tos asistida con compresión abdominal para facilitar la eliminación de secreciones bronquiales. Acudió al Servicio de Urgencias por proceso febril de menos de 24 h, disnea y dificultad para eliminar secreciones respiratorias. En la exploración física se apreciaban murmullo vesicular disminuido en el hemitórax derecho y estertores de secreciones bronquiales en el izquierdo. Los datos de la gasometría arterial fueron los siguientes: fracción inspiratoria de oxígeno de 0,28, pH de 7,39, presión arterial de anhídrido carbónico de 43,7 mmHg, presión arterial de oxígeno de 68,3 mmHg, HCO3 de 24,7 mmol/l y saturación arterial de oxígeno del 93,4%. La radiografía de tórax evidenció cifoscoliosis grave y opacidad completa del pulmón derecho, que no estaba presente en la tomografía axial computarizada (TAC) realizada 6 meses atrás. Con el diagnóstico de atelectasia derecha debida a posible ocupación por secreciones bronquiales y cuadro febril secundario a infección respiratoria, se inició tratamiento antibiótico (cefotaxima). En la sala de hospitalización de neumología se complementó el tratamiento con fisioterapia respiratoria y tos asistida mecánica (Cough-Assist®). A partir del quinto día la paciente presentó mejoría clínica, pero persistió la hipofonesis en el hemitórax derecho. Se solicitó TAC torácica, que mostró colapso de casi todo el pulmón derecho, secundario a compresión por hernia de hiato que contenía prácticamente todo el estómago y grasa abdominal (fig. 1). Al comparar dicha TAC con la realizada 6 meses atrás se observó una progresión considerable de la hernia, que antes era de pequeño tamaño. Se indicó a los cuidadores que practicaran maniobras de hiperinsuflación con resucitador manual (Ambú®) y compresión torácica como asistencia adicional a la tos. A las 3 semanas del alta el control radiológico mostró práctica resolución de la opacidad en el hemitórax derecho.
Fig. 1. Tomografía axial computarizada que muestra contenido abdominal (grasa y parte del estómago) en el hemitórax derecho.
La presión abdominal en situación fisiológica es de 15 a 20 mmHg y alcanza sus máximos en situaciones como la tos (> 100 mmHg)3. La tos intensa se ha asociado, entre otros, a rotura diafragmática4 o hernia abdominal traumática5. Las maniobras de compresión abdominal generan asimismo incremento considerable de la presión abdominal, y en pacientes con paresia de la musculatura abdominal, al carecer de mecanismo de defensa frente a la compresión externa, la magnitud de la presión transmitida a las vísceras abdominales es necesariamente superior. En el caso descrito, las maniobras repetitivas sobre la musculatura abdominal parética fueron probablemente las responsables de la progresión intratorácica de la hernia hiatal, de pequeño tamaño unos meses antes. Además, la resolución, tras abandonar la práctica de las mencionadas maniobras, refuerza aún más la hipótesis de la relación causal entre ambos fenómenos. Por tanto, y a modo de conclusión, aconsejamos que en los pacientes en que se tenga constancia de una hernia hiatal se evite este tipo de maniobras de tos asistida, empleándose como alternativas las compresiones torácicas o la asistencia mecánica a la tos. De la misma forma, es aconsejable realizar periódicamente un control radiológico en los pacientes en que se emplee la compresión abdominal de forma habitual y que no tengan hernia hiatal, para su detección precoz en caso de aparición.








