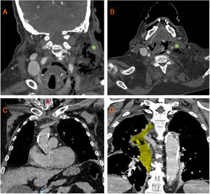
We report the case of a 68-year-old male with chronic obstructive pulmonary disease (COPD) admitted for progressive dyspnea and left cervical swelling. During hospitalization, his respiratory status worsened, with increased oxygen requirements. Cervicothoracic computed tomography (CT) scan (video) revealed subcutaneous emphysema with air bubbles in the left laterocervical soft tissues (Fig. 1A), a left cervical abscess, extensive thrombosis of the left internal jugular vein and ipsilateral dural venous sinuses (Fig. 1B), and contralateral tracheal deviation narrowing the glottic lumen to 5mm (Fig. 1C). The abscess extended into the mediastinum, causing acute right mediastinitis and severe airway compromise (Fig. 1D). An emergency surgical tracheotomy was performed, followed by cervical drainage and intravenous antibiotics (amoxicillin/clavulanic acid and clindamycin). Cultures were negative. Despite treatment, the patient's condition progressively deteriorated and he died. Descending mediastinitis secondary to cervical abscess is almost always linked to prior oral manipulation or infection [1,2]. Only one similar idiopathic case without oral intervention has been reported [1]. This case emphasizes the severity of descending mediastinitis and the need for prompt diagnosis and treatment, even in the absence of typical risk factors.
Cervicothoracic CT scan demonstrating: (A) subcutaneous emphysema with air bubbles in the left laterocervical region (green asterisk); (B) cervical abscess accompanied by extensive thrombosis of the left internal jugular vein and ipsilateral dural venous sinuses (green asterisk); (C) severe airway deviation with a minimum glottic lumen diameter of 5mm (red asterisk); and (D) cervical collection with mediastinal extension (highlighted in yellow), responsible for right-sided mediastinitis and significant airway compromise.
All authors have made substantial contributions in each of the following aspects: conception, clinical case design and data acquisition, drafting of the article and critical revision of the intellectual content, and final approval of the presented version.
Declaration of generative AI and AI-assisted technologies in the writing processNo artificial intelligence was used in the development and writing of this article.
FundingThe authors declare that they have not received any fees or funding for the development of the clinical case presented.
Conflicts of interestFV-Á has attended or participated in activities organised or financed by the pharmaceutical companies Almiral, AstraZeneca, Bial, BoehringerIngelheim, Chiesi, GlaxoSmithKline, Esteve, Ferrer, Menarini, Novartis, Mundipharma, Orion, Pfizer, Teva and Zambon.
The rest of the authors declare no conflict of interest.







