Interstitial lung disease secondary to drugs is generally associated with considerable morbidity and death. Acute interstitial pneumonitis due to certolizumab pegol has rarely been described in the literature.1–4 We describe a case of a 76-year-old male with a medical history of tobacco use, emphysema and rheumatoid arthritis (RA), recently complicated with pulmonary fibrosis (Fig. 1A). The patient started certolizumab pegol treatment 2 weeks after the pulmonary fibrosis diagnosis, due to a severe rheumatoid arthritis event.
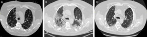
(A) Chest CT, performed 2 weeks before starting certolizumab pegol, showed centrilobular emphysematous changes in the upper lobes and subpleural reticular infiltrates. (B) Chest CT showed emphysema in the upper lobes, subpleural honeycombing, traction bronchiectasis bilateral peripheral ground glass opacities with an organizing pneumonia pattern. (C) A CT of the chest, performed three months after discharge, showed emphysema in the upper lobes and subpleural honeycombing, with resolution of superimposed ground-glass opacities and organizing pneumonia.
He presented to the emergency department with shortness of breath and cough. On early assessment, his heart rate was 112/min, his respiratory rate was 24/min, oxygenation saturation was 65% on room air, temperature was 98.6F, and normal blood pressure. Chest examination revealed more pronounced bilateral rales at the base. Initial laboratory data showed normal white cell count and serum electrolytes. His arterial blood gas showed a pH of 7.24, pCO2 of 69mmHg and po2 of 55mmHg on room air. The patient was intubated due to increased work of breathing upon admission. Blood, sputum and urine cultures were negative. Serum histoplasmosis antibodies, urine histoplasmosis antigen, serum coccidioidomycosis antibodies, and viral PCR panel were negative. Rheumatoid factor (RF) was 650IU/ml. Computed tomography (CT) of the chest showed emphysema in the upper lobes, subpleural honeycombing, traction bronchiectasis and superimposed bilateral peripheral ground glass opacities with an organizing pneumonia pattern (Fig. 1B). The patient was treated with vancomycin and cefepime. Bronchoscopy with bronchoalveolar lavage (BAL) showed predominant lymphocytes. The results of BAL studies, including bacterial, fungal, and acid-fast bacillus (AFB) culture and Mycobacterium tuberculosis (MTB) polymerase chain reaction (PCR) were negative. In the setting of persistent symptoms and a negative diagnostic workup, drug-induced interstitial pneumonitis was considered. We stopped certolizumab pegol as a therapeutic intervention because of a lack of improvement with appropriate antibiotics and negative cultures. He was treated with intravenous methylprednisolone 240mg/day for 3 days. He was extubated after 72h. He was weaned off oxygen before discharge. He was discharged on a tapering prednisone regimen over a 4-week period. A CT of the chest, performed three months after discharge, showed emphysema in the upper lobes and subpleural honeycombing, with resolution of superimposed ground-glass opacities and organizing pneumonia (Fig. 1C).
We did not rechallenge the patient with certolizumab pegol because of increased risk of death.
Certolizumab pegol is a recombinant humanized antihuman TNF-alpha neutralizing antibody. It has been shown to be more efficacious in the treatment of rheumatoid arthritis in combination with methotrexate.5 Common respiratory side effects of certolizumab pegol include upper respiratory tract infection and cough. In previously described cases, the patients were on concomitant methotrexate. Furthermore, the temporal relationship was not clear. The patient described in this case was not on methotrexate that can cause interstitial pneumonitis. Furthermore, there was a clear temporal relationship, as ground glass opacities developed two weeks after starting certolizumab pegol. However, rechallenge was not performed due to risk of mortality.
Clinicians need to have a reasonable suspicion of drug-induced pulmonary toxicity with certolizumab pegol in patients who present with respiratory symptoms. Corticosteroids may be considered for severe life-threatening disease. Early recognition of certolizumab pegol can prevent adverse outcomes.
FundingNone.
Authors’ contributionAuthor has contributed substantially to obtaining the results and preparation of the manuscript in accordance with ICMJE criteria.
Conflicts of interestNone.








