Introducción
Si bien está suficientemente documentada en las publicaciones médicas la asociación de síndromes paraneoplásicos de tipo neurológico y el carcinoma microcítico de pulmón, creemos interesante presentar el siguiente caso clínico, dada la singularidad de una ceguera progresiva como primera manifestación de la enfermedad neoplásica en un gran fumador con un tumor pulmonar todavía confinado a la pared bronquial en la clasificación prequirúrgica.
Observación clínica
Paciente de 66 años, fumador de 40 paquetes/año, con antecedentes de arteriopatía aterosclerótica de los sectores femoropoplíteos y carotídeos bilaterales, tratada médicamente, que ingresó para estudio de pérdida de la visión de los colores, tras faquectomía bilateral sin complicaciones. Su oftalmólogo indicó que se trataba de un síndrome paraneoplásico y recomendó una evaluación para descartar un posible tumor. La exploración física mostró un Karnofsky del 80%, sin evidencia clínica de enfermedad. La colonoscopia y la gastroscopia descartaron la presencia de enfermedad. La radiografía posteroanterior de tórax reveló sólo un hilio izquierdo ensanchado (fig. 1). La tomografía computarizada torácica mostró una lesión de aspecto tumoral de 2,5 cm, localizada en el segmento posterior del lóbulo inferior izquierdo (fig. 2), que no captó contraste, con discretas atelectasias subsegmentarias en esa zona. También reveló cambios enfisematosos en los lóbulos superiores. En el mediastino no se identificaron adenopatías de tamaño patológico. El hígado y las suprarrenales no mostraron lesiones. La broncoscopia evidenció una lesión endobronquial en el segmento posterior del lóbulo inferior izquierdo, que estenosaba totalmente la luz bronquial. La citología del broncoaspirado fue positiva para carcinoma, y la biopsia resultó positiva para carcinoma escamoso no queratinizante. El estudio funcional respiratorio estuvo dentro del rango de la normalidad, con un índice volumen espiratorio forzado en el primer segundo/capacidad vital forzada (2,58/3,54) sobre el 80% del teórico. La gasometría arterial fue normal. La gammagrafía ósea no reveló imágenes compatibles con metástasis.
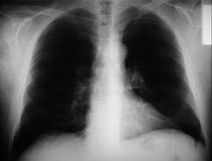
Fig. 1. Placa posteroanterior preoperatoria, sin evidencia de tumor bronquial.
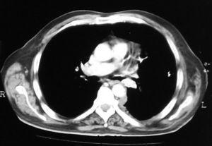
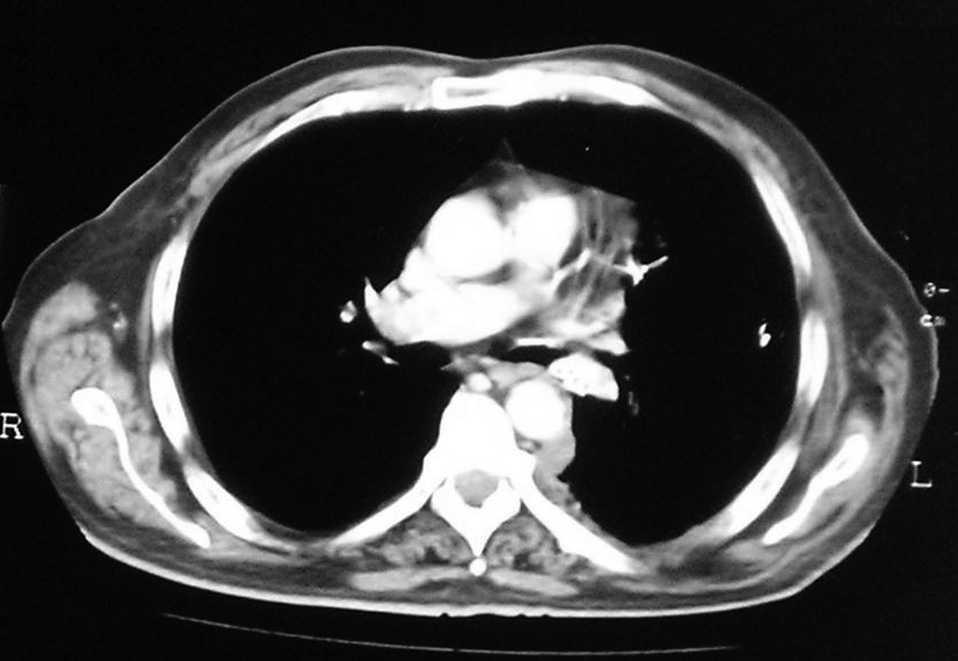
Fig. 2. Tomografía computarizada de tórax que objetiva una estenosis por tumoración en el segmento VI del bronquio.
Se sometió al paciente a una toracotomía izquierda con lobectomía inferior y disección ganglionar sistemática. La sutura bronquial se realizó manualmente, ya que la proximidad del tumor a la zona de sección bronquial desaconsejó el uso de suturadoras mecánicas. El análisis intraoperatorio del muñón bronquial no evidenció invasión tumoral. El curso postoperatorio se complicó con una fuga aérea persistente y atelectasia del lóbulo superior izquierdo, que requirió repetidas broncoaspiraciones. La fuga aérea cesó después de 11 días de drenaje mantenido y neumoperitoneo terapéutico. Se le dio de alta a los 20 días de la intervención.
El estudio anatomopatológico definitivo de la pieza extirpada mostró un carcinoma indiferenciado mixto de células pequeñas y células grandes de 2,1 cm de diámetro. Dos ganglios hiliares muy próximos al tumor tenían afectación tumoral. Los ganglios mediastínicos no presentaron afectación tumoral. La clasificación tumoral patológica fue pT1 pN1 pN0, estadio IIA. La tomografía computarizada cerebral postoperatoria no evidenció presencia de lesiones compatibles con metástasis.
El tratamiento se completó con quimioterapia a base de cisplatino y etopósido en 3 ciclos, con radioterapia posterior sobre el mediastino y las fosas supraclaviculares. Posteriormente recibió otros 3 ciclos de quimioterapia. Los controles broncoscópicos y radiológicos no evidenciaron recidiva del tumor al año de la intervención. Los síntomas oculares del paciente remitieron completamente hasta encontrarse asintomático. Reingresó a los 28 meses de la intervención con hepatomegalia y 2 nódulos subcutáneos en la pared abdominal cuya punción reveló células neoplásicas. La ecografía abdominal confirmó la presencia de metástasis hepáticas. Falleció en su domicilio recibiendo cuidados paliativos a los 30 meses de la intervención.
Discusión
La asociación de disminución de la agudeza visual y carcinoma de pulmón se comprende por tener ambas afecciones su mayor frecuencia en la sexta década de la vida. No es inusual entonces la coincidencia de intervenciones de reemplazo de cristalino y la presencia de lesiones pulmonares de aparición incidental en la radiografía de tórax de la evaluación preoperatoria. La retinopatía retiniana que a veces acompaña a las cataratas es de difícil valoración preoperatoria, y en el postoperatorio puede quedar enmascarada por alguna complicación de la intervención o por otro proceso. La manifestación única de ceguera al color, sin estar acompañada de otras manifestaciones neurológicas que lleven a sospechar un síndrome paraneoplásico, hace también muy difícil el diagnóstico de un tumor primario, salvo que se tenga en cuenta esta asociación. Los tumores, en general, pueden provocar compromiso ocular por invasión de vecindad o por metástasis; estas últimas habitualmente tienen su origen en tumores del tracto digestivo o de origen bronquial en el varón, y en la mama, el aparato digestivo o el ovario en la mujer1,2. El sitio más frecuente de las metástasis uveales es la coroides, y se debe tener en cuenta que en los pacientes que consultan por molestias visuales y en quienes se encuentra una metástasis ocular, es ésta la primera manifestación de enfermedad a distancia3-7. Las neoplasias producen fenómenos paraneoplásicos de tipo neurológico en diversas zonas del neuroeje, con mecanismos diversos; la característica común es la instalación subaguda, que puede anteceder a la aparición de la neoplasia a veces en tiempo muy prolongado, y dichos fenómenos obligan a descartar un tumor en el momento de su aparición. Algunos síndromes se asocian exactamente a algún tumor, cuya incidencia es notoria, especialmente en el carcinoma microcítico de pulmón con un 47%, el de estómago con un 12%, el de mama con un 12%, el de ovario con un 9% y el de colon con un 6%. La patogenia de estos trastornos se explica por una respuesta autoinmunitaria dirigida contra determinantes antigénicos comunes expresados por el tumor y por las células nerviosas afectadas. En el carcinoma microcítico de pulmón hay anticuerpos nucleares que reconocen a los antígenos nucleares de las neuronas y dan lugar a encefalomielitis paraneoplásica o bien a una neuropatía sensorial subaguda que pueden producir una lesión en más de una región del neuroeje; de ahí la importancia de determinar la presencia de anticuerpos, cuya detección permite confirmar que este proceso tiene un origen paraneoplásico, si bien estos anticuerpos no permiten el diagnóstico de un síndrome neurológico específico8. En la retinopatía paraneoplásica es determinante la presencia de anticuerpos antirretinopatía asociada a cáncer, cuyo antígeno es la recoverina, proteína del cono de unión al Ca-24 de 23kDa, lo que establece lo que actualmente se denomina retinopatía asociada a cáncer. Hay otra proteína, ésta de 65k Da, de la cadena de HSP (heat shock protein) que participa también en el mecanismo de esta ceguera. El hallazgo de anticuerpos antirrecoverina, proteínas retinianas de 23 kDa, indica la naturaleza paraneoplásica del fenómeno de la ceguera al color y suele anteceder a la aparición de la clínica propia del tumor primario. Hay producción de anticuerpos antirrecoverina contra la recoverina aberrante producida por el tumor que se instala en los fotorreceptores y que bloquean la función de la recoverina autóctona de inhibir la fosforilación de la rodopsina por mediación del calcio, lo que induce la apoptosis9-11.
La retinopatía asociada a cáncer puede ser de 2 tipos12,13. Una de ellas, asociada al carcinoma microcítico, es similar a la retinitis pigmentaria; en cambio, la asociada al melanoma es menos conocida y está menos estudiada. La enfermedad neurológica asociada al carcinoma microcítico está muy bien estudiada y se asocia a un número importante de fenómenos neurológicos relacionados con la producción de anticuerpos producidos por el tumor primario, entre los que destacan la cerebelitis, la encefalitis límbica, el síndrome de opsoclonía-mioclonía, el síndrome de la persona rígida (stiff-man) y el síndrome miasténico de Lamber-Eaton, entre otros, con anticuerpos contra el canal del calcio, contra el canal del potasio y contra la recoverina14,15. La recoverina es producida de forma anómala por los tumores pulmonares y es la diana que despierta los anticuerpos antirrecoverina que posteriormente bloquean a la recoverina retiniana16,17. Está establecido que el gen asociado a la recoverina se localiza en la rama corta del cromosoma 17, en posición p13.118, junto a otras posiciones relacionadas con el cáncer que darían origen al fenómeno de la retinopatía. Sin embargo, una publicación reciente revela la producción de recoverina en tumores microcíticos, pero sin que esto desencadene la aparición de retinopatías asociadas a cáncer19.









